Tag: knee injuries can be painful and debilitating. If you experience any symptoms of a knee injury

  • Managing Osteoarthritis Knee Pain: What You Should Know

    Osteoarthritis knee pain can be debilitating and impact everyday life. Understanding the causes, symptoms, and management options is crucial for individuals dealing with this condition. In this article, we will explore the key aspects of managing osteoarthritis knee pain and provide valuable insights for those seeking relief.

    Key Takeaways

    • Regular exercise can help reduce knee pain and improve mobility.
    • Medication, such as nonsteroidal anti-inflammatory drugs (NSAIDs), can provide relief from knee pain and inflammation.
    • Physical therapy can strengthen the muscles around the knee and improve flexibility, reducing pain and enhancing function.
    • Maintaining a healthy weight can alleviate pressure on the knees and reduce the risk of further damage from osteoarthritis.
    • Lifestyle changes, including proper footwear and supportive devices, can ease knee pain and improve overall quality of life.

    Understanding Osteoarthritis Knee Pain

    thumbnail

    Causes of Osteoarthritis Knee Pain

    We often see osteoarthritis as a natural part of the aging process, but it’s more complex than simply getting older. The causes of osteoarthritis knee pain are multifaceted, involving a combination of factors. Genetics play a significant role, as do lifestyle choices and past injuries.

    Weight is a critical factor; the more we weigh, the more stress we put on our joints, particularly the knees. Occupations that demand repetitive stress on the joints can also contribute to the development of osteoarthritis. Here’s a quick look at some common contributing factors:

    • Age: The risk increases as we age.
    • Gender: Women are more likely to develop osteoarthritis after menopause.
    • Joint injuries: Past injuries can lead to osteoarthritis later in life.
    • Bone deformities: Congenital or developmental conditions may predispose individuals to osteoarthritis.

    Tip: Maintaining a healthy weight and avoiding joint overuse can help manage the risk of developing osteoarthritis knee pain.

    Symptoms of Osteoarthritis Knee Pain

    We often observe that individuals with osteoarthritis knee pain experience a range of symptoms that can vary in intensity. The most common symptom is a persistent pain in the knee, which may worsen with activity and improve with rest. Stiffness, particularly in the morning or after sitting for long periods, is also frequently reported.

    Another notable symptom is a decreased range of motion in the knee joint, which can make it difficult to perform everyday activities such as walking or climbing stairs. Some may hear or feel a grating sensation when moving the knee. Swelling can occur, especially after extended activity.

    Tip: Gentle stretching and warming up before activities can help reduce stiffness and improve joint mobility.

    Here is a list of common symptoms associated with osteoarthritis knee pain:

    • Persistent knee pain
    • Stiffness in the knee
    • Decreased range of motion
    • Grating sensation
    • Swelling after activity

    It’s important to recognize these symptoms early and consult a healthcare professional for proper diagnosis and management.

    Diagnosis of Osteoarthritis Knee Pain

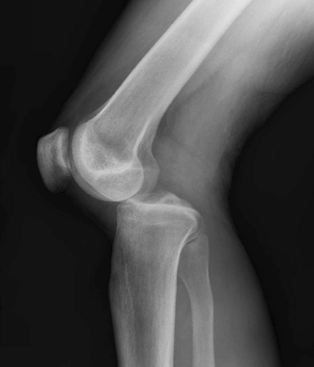
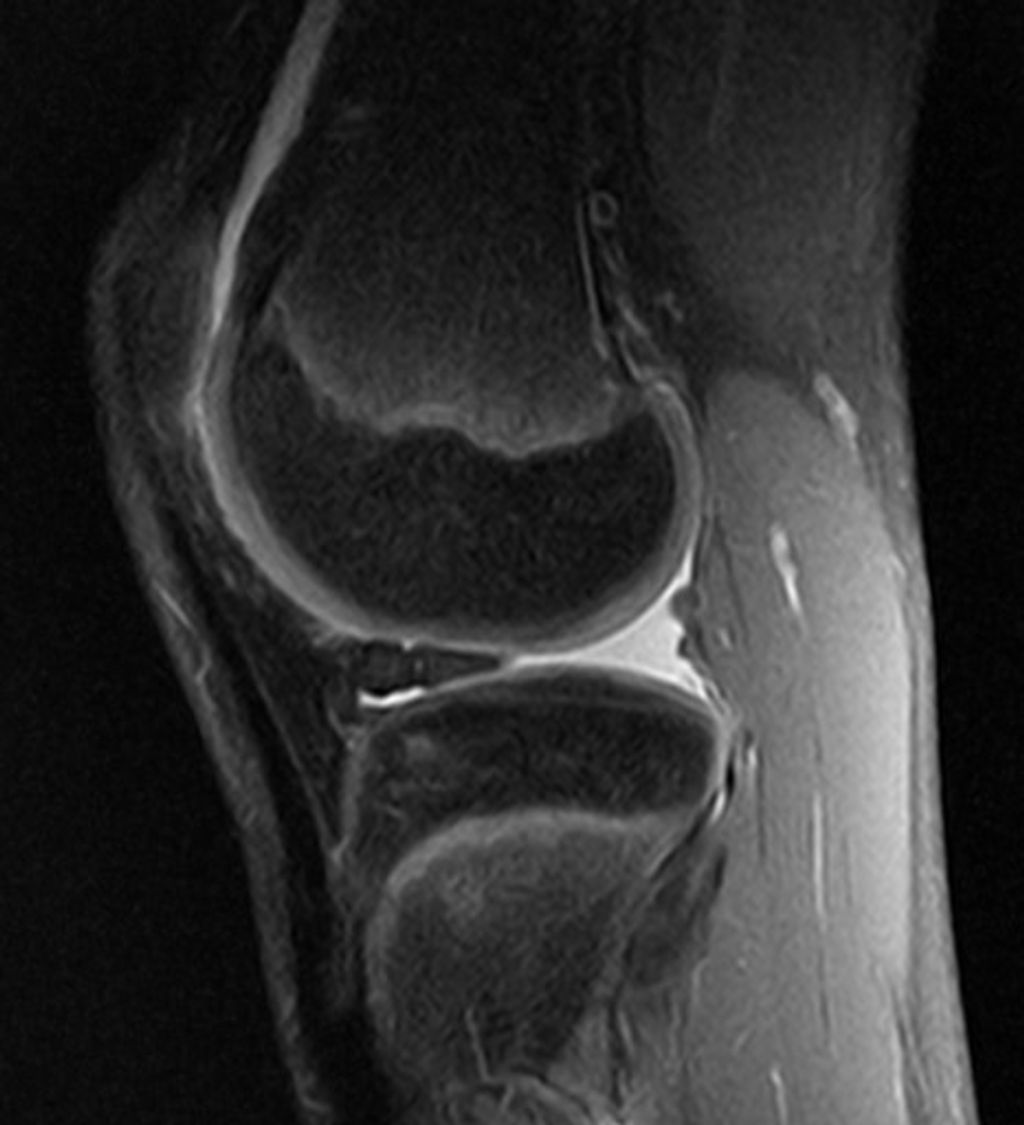
    After recognizing the symptoms of osteoarthritis knee pain, we proceed to its diagnosis, which is crucial for tailoring the most effective management strategies. We begin with a thorough medical history and a physical examination. The presence of joint stiffness, swelling, and pain during movement can be indicative of osteoarthritis. To confirm the diagnosis, imaging tests such as X-rays or MRI scans are often employed. These tests reveal the extent of joint damage, including loss of cartilage and changes in bone structure.

    Imaging Tests for Osteoarthritis Knee Pain:

    • X-rays: Show bone spurs and cartilage loss
    • MRI: Provides detailed images of soft tissues

    Tip: Early diagnosis can lead to better management of knee pain and potentially slow the progression of osteoarthritis.

    It’s also important to rule out other conditions that can mimic osteoarthritis, such as rheumatoid arthritis or gout. Blood tests and joint fluid analysis may be conducted to differentiate these conditions. Once osteoarthritis is confirmed, we can explore various treatment options to manage knee pain effectively.

    Managing Osteoarthritis Knee Pain

    thumbnail

    Lifestyle Changes for Managing Knee Pain

    After making the necessary lifestyle changes to manage knee pain, it is important to monitor the progress and make adjustments as needed. Regular exercise and maintaining a healthy weight are crucial for managing osteoarthritis knee pain. It is also beneficial to incorporate low-impact activities such as swimming or cycling into our routine. Additionally, a balanced diet rich in nutrient-dense foods can help reduce inflammation and support overall joint health.

    When considering medication options, it is essential to consult with a healthcare professional to determine the most suitable treatment plan. This may include the use of over-the-counter pain relievers or prescription medications to alleviate discomfort and manage inflammation. Physical therapy is another valuable resource for managing knee pain, providing tailored exercises and techniques to improve strength, flexibility, and mobility. Together, these approaches form a comprehensive strategy for effectively managing osteoarthritis knee pain.

    Medication Options for Knee Pain

    When considering medication options for knee pain, nonsteroidal anti-inflammatory drugs (NSAIDs) are commonly prescribed to reduce inflammation and alleviate discomfort. It’s important to consult with a healthcare professional before starting any new medication. Additionally, it’s crucial to be aware of potential side effects, such as gastrointestinal irritation and increased risk of cardiovascular events. Monitoring for these side effects and discussing any concerns with a healthcare provider is essential for safe and effective management of knee pain. We emphasize the importance of informed decision-making and regular communication with healthcare professionals to ensure personalized and optimal treatment.

    Physical Therapy for Knee Pain

    After discussing the benefits of physical therapy for knee pain, lifestyle changes and medication options should also be considered. It’s important to consult with a healthcare professional to determine the most suitable treatment plan for your specific condition. In some cases, a combination of these approaches may be recommended to effectively manage osteoarthritis knee pain. It’s crucial to adhere to the prescribed treatment regimen and maintain open communication with your healthcare provider to monitor progress and make any necessary adjustments. Additionally, engaging in regular low-impact exercises, such as swimming or cycling, can help improve joint flexibility and reduce discomfort. It’s essential to prioritize self-care and adopt a proactive approach to managing osteoarthritis knee pain.

    Conclusion

    In conclusion, the management of osteoarthritis knee pain is a complex and multifaceted endeavor that requires a comprehensive approach. By understanding the underlying mechanisms of the condition, implementing evidence-based interventions, and promoting patient education and self-management, healthcare professionals can significantly improve the quality of life for individuals suffering from osteoarthritis. It is imperative to emphasize the importance of early intervention and the adoption of a holistic treatment plan that addresses both the physical and psychological aspects of the condition. Through ongoing research and advancements in medical technology, the future holds promise for more effective and personalized strategies in the management of osteoarthritis knee pain.

    Frequently Asked Questions

    What are the risk factors for developing osteoarthritis knee pain?

    Risk factors for developing osteoarthritis knee pain include age, obesity, previous knee injury, genetics, and overuse of the knee joint.

    Is exercise beneficial for managing osteoarthritis knee pain?

    Yes, regular exercise can help improve joint function, reduce pain, and increase mobility for individuals with osteoarthritis knee pain. It is important to engage in low-impact exercises and consult with a healthcare professional for personalized exercise recommendations.

    What are the common medications used to manage osteoarthritis knee pain?

    Common medications used to manage osteoarthritis knee pain include nonsteroidal anti-inflammatory drugs (NSAIDs), acetaminophen, corticosteroid injections, and hyaluronic acid injections.

    Can dietary changes help in managing osteoarthritis knee pain?

    Yes, certain dietary changes such as maintaining a healthy weight, consuming anti-inflammatory foods, and incorporating joint-friendly nutrients like omega-3 fatty acids can contribute to managing osteoarthritis knee pain.

    How effective is physical therapy in managing osteoarthritis knee pain?

    Physical therapy is highly effective in managing osteoarthritis knee pain as it focuses on strengthening the muscles around the knee, improving flexibility, and providing personalized exercises to enhance joint function and reduce pain.

    Are there surgical options for treating severe osteoarthritis knee pain?

    In cases of severe osteoarthritis knee pain that does not respond to conservative treatments, surgical options such as knee replacement surgery or arthroscopic surgery may be recommended by orthopedic surgeons after thorough evaluation and consideration of individual health factors.

  • Exploring Anterior Knee Pain: Causes and Remedies

    Exploring Anterior Knee Pain: Causes and Remedies

    Anterior knee pain is a common condition that can have a significant impact on an individual’s quality of life. Understanding the causes and remedies for anterior knee pain is essential for effective management and treatment. In this article, we will explore the anatomy of the knee joint, the various causes of anterior knee pain, risk factors associated with this condition, methods for diagnosing anterior knee pain, and the treatment options available, including conservative management, physical therapy interventions, and surgical interventions.

    Key Takeaways

    • Understanding the anatomy of the knee joint is crucial in diagnosing and treating anterior knee pain.
    • Identifying the causes of anterior knee pain helps in developing targeted treatment plans.
    • Risk factors such as age, gender, and lifestyle can contribute to the development of anterior knee pain.
    • Physical examination is a key diagnostic tool for evaluating anterior knee pain.
    • Imaging studies such as X-rays and MRI scans are valuable in diagnosing structural abnormalities in the knee joint.

    Understanding Anterior Knee Pain

    thumbnail

    Anatomy of the Knee Joint

    The knee joint is a complex structure that plays a crucial role in supporting our body weight and facilitating movement. Understanding the anatomy of the knee joint is essential for comprehending the mechanisms that can lead to anterior knee pain. The knee joint consists of the femur, tibia, and patella, all of which are connected by ligaments and surrounded by protective cartilage. This intricate arrangement allows for smooth and controlled movement, but it also makes the knee susceptible to various forms of stress and injury.

    In some cases, anterior knee pain may be associated with specific anatomical abnormalities, such as patellar malalignment or abnormal tracking. These issues can lead to increased pressure on the patellofemoral joint, resulting in discomfort and reduced function. Understanding these structural variations is crucial for accurate diagnosis and effective treatment.

    A key aspect of the knee joint’s anatomy is the distribution of forces during weight-bearing activities. Research has shown that the patellofemoral joint experiences significant pressure during activities like running, jumping, and squatting. This underscores the importance of proper biomechanics and muscle balance in preventing and managing anterior knee pain.

    It is important to note that individual variations in knee joint anatomy can influence the development of anterior knee pain. Factors such as patellar shape, alignment, and muscle strength can significantly impact the distribution of forces within the knee joint, potentially contributing to pain and dysfunction.

    Tip: Maintaining a healthy weight and engaging in exercises that promote knee stability and strength can help alleviate anterior knee pain and reduce the risk of future injury.

    Causes of Anterior Knee Pain

    Anterior knee pain can result from a variety of factors, including overuse and injury. Additionally, patellofemoral malalignment is a common cause of anterior knee pain. This misalignment can lead to increased pressure on the patellofemoral joint, contributing to pain and discomfort. In some cases, structural abnormalities such as patellar instability and cartilage damage may also play a role in the development of anterior knee pain.

    When considering the causes of anterior knee pain, it’s important to recognize the impact of biomechanical factors. These may include muscle imbalance, poor alignment, and foot mechanics. Addressing these factors through targeted interventions can be crucial in managing and alleviating anterior knee pain.

    For a more structured understanding of the causes of anterior knee pain, the following table outlines common contributing factors:

    Factor Description
    Overuse Excessive strain on the knee joint due to repetitive movements or activities
    Injury Trauma or damage to the knee, such as ligament sprains, fractures, or meniscus tears
    Patellofemoral Malalignment Misalignment of the patella and femur, leading to abnormal tracking and pressure on the joint
    Structural Abnormalities Anatomical irregularities that affect the function and stability of the knee joint
    Biomechanical Factors Imbalances and dysfunctions in muscle strength, joint alignment, and lower limb mechanics

    In addressing anterior knee pain, understanding these causative factors is essential for developing effective treatment strategies and promoting optimal knee health.

    Risk Factors for Anterior Knee Pain

    We recognize that understanding the risk factors for anterior knee pain is crucial in both preventing and managing the condition. Certain factors increase the likelihood of developing pain in the anterior aspect of the knee. These include overuse of the knee joint, particularly in athletes or individuals with high levels of physical activity, and misalignment of the knee joint, which can lead to abnormal stress and wear.

    Age is also a significant factor, as the risk of knee pain increases with age due to the natural wear and tear of the joint. Additionally, being overweight places extra stress on the knee joints, potentially leading to pain and discomfort. Here is a list of common risk factors:

    • Overuse and repetitive motion
    • Misalignment or instability of the knee joint
    • Age-related degeneration
    • Excess body weight
    • Previous knee injuries

    Tip: Maintaining a healthy weight and engaging in regular, low-impact exercise can help reduce the risk of developing anterior knee pain.

    Diagnosing Anterior Knee Pain

    thumbnail

    Physical Examination

    In our approach to diagnosing anterior knee pain, we place significant emphasis on the physical examination. This step is crucial as it allows us to assess the knee’s range of motion, stability, and the presence of any swelling or tenderness. We systematically evaluate the knee by palpating specific anatomical landmarks and performing certain maneuvers that can elicit pain or discomfort, indicative of underlying conditions.

    During the examination, we may perform tests such as the patellar apprehension test or the McMurray’s test to assess for patellar instability or meniscal tears, respectively. It’s important to note that while these tests are valuable, they are not definitive and should be interpreted in the context of the entire clinical picture.

    Tip: Always communicate with the patient during the examination to understand their pain threshold and to ensure they are comfortable.

    Our findings from the physical examination guide us towards the next steps, which may include imaging studies or further clinical tests. The goal is to form a comprehensive understanding of the patient’s condition, which is essential for developing an effective treatment plan.

    Imaging Studies

    After conducting a thorough physical examination, we often turn to imaging studies to gain a deeper understanding of anterior knee pain. These studies provide us with a visual assessment that can reveal structural abnormalities, signs of wear, or other conditions that might not be apparent through physical examination alone.

    The most common imaging modalities we utilize include X-rays, magnetic resonance imaging (MRI), and ultrasound. X-rays are excellent for visualizing bone structures and can help us identify fractures or signs of osteoarthritis. MRI scans offer a more detailed view, particularly of soft tissues such as ligaments, tendons, and cartilage. Ultrasound is a real-time imaging technique that can assess the dynamic movement of the knee joint.

    Tip: Always consider the patient’s history and physical exam findings when selecting the most appropriate imaging study.

    Here is a brief overview of the indications for each imaging modality:

    • X-rays: Recommended for suspected fractures, osteoarthritis, or bone tumors.
    • MRI: Indicated for soft tissue injuries, ligament tears, or meniscal damage.
    • Ultrasound: Useful for evaluating tendon pathology or guiding injections.

    It’s important to remember that while imaging can be incredibly informative, it should not be the sole basis for a diagnosis. Clinical correlation is essential.

    Differential Diagnosis

    Once we have conducted a thorough physical examination and utilized imaging studies, we proceed to the crucial step of differential diagnosis. This process allows us to distinguish anterior knee pain from other conditions that may present with similar symptoms. We consider a range of potential diagnoses, including but not limited to patellofemoral pain syndrome, tendinitis, bursitis, and osteoarthritis.

    To systematically approach differential diagnosis, we often use a combination of clinical findings and diagnostic tests. For instance, the presence of crepitus or a grinding sensation when the knee is extended might suggest osteoarthritis, while tenderness along the patellar tendon could indicate tendinitis.

    Tip: Always consider the patient’s history and activity level when formulating a differential diagnosis, as these factors can significantly influence the underlying cause of knee pain.

    Here is a simplified list of conditions we typically consider in our differential diagnosis:

    • Patellofemoral pain syndrome
    • Tendinitis
    • Bursitis
    • Osteoarthritis
    • Meniscal injuries
    • Ligamentous injuries

    Our goal is to identify the specific cause of the knee pain to tailor the most effective treatment plan. The correct diagnosis is essential for successful management and recovery.

    Treatment Options for Anterior Knee Pain

    thumbnail

    Conservative Management

    After considering the various conservative management strategies, physical therapy interventions emerge as a crucial component of the treatment plan. These interventions focus on improving muscle strength, flexibility, and overall function of the knee joint. Additionally, they aim to address any biomechanical abnormalities that may contribute to anterior knee pain. A structured physical therapy program may include a combination of exercises, manual therapy, and modalities such as ice or heat application. It is important to note that the effectiveness of physical therapy interventions may vary based on individual patient characteristics and the underlying cause of the anterior knee pain.

    Moreover, patients may benefit from a comprehensive approach that integrates patient education and lifestyle modifications. This may involve educating patients about proper body mechanics, activity modification, and the importance of maintaining a healthy weight. Furthermore, the incorporation of assistive devices such as knee braces or orthotics may provide additional support and stability to the knee joint, thereby alleviating anterior knee pain.

    In some cases, when conservative measures do not yield the desired outcomes, surgical interventions may be considered. These interventions are typically reserved for individuals with severe or persistent anterior knee pain that significantly impairs their daily activities. Surgical options may include procedures to realign the patella, repair damaged cartilage, or reconstruct ligaments. It is essential for patients to have a thorough discussion with their healthcare provider to weigh the potential benefits and risks of surgical interventions.

    Lastly, it is important to emphasize the significance of a personalized treatment approach. Each patient’s condition is unique, and the treatment plan should be tailored to address their specific needs and goals. By considering the individual’s symptoms, functional limitations, and treatment preferences, healthcare providers can optimize the management of anterior knee pain.

    Physical Therapy Interventions

    Physical therapy interventions play a crucial role in the management of anterior knee pain. Our approach focuses on strengthening the quadriceps and hamstrings, as well as improving flexibility and balance. Additionally, we emphasize patient education to promote self-management and adherence to the prescribed exercises.

    A structured approach to physical therapy interventions may include:

    1. Quadriceps Strengthening Exercises
    2. Hamstring Strengthening Exercises
    3. Flexibility Training
    4. Balance and Proprioception Exercises

    Tip: Consistent and diligent participation in the prescribed physical therapy program is essential for optimal outcomes and long-term relief from anterior knee pain.

    Surgical Interventions

    After exploring conservative and physical therapy options, we sometimes find that surgical interventions are necessary to address persistent anterior knee pain. These procedures range from minimally invasive arthroscopic surgery to more extensive reconstructive surgeries, such as an anterior cruciate ligament (ACL) reconstruction.

    When we consider surgery, it’s crucial to understand the potential risks and benefits. The decision is always made in close consultation with the patient, considering their unique situation and health goals. Post-operative care is equally important to ensure a successful recovery. For instance, a client may experience a setback, such as an ACL issue 10 weeks post-surgery, but with the right strategies, these can be overcome.

    Rehabilitation is a key component of the recovery process. Here’s a brief overview of the typical post-surgical rehabilitation timeline:

    1. Initial rest and inflammation control (0-2 weeks)
    2. Gradual increase in mobility and strength exercises (2-6 weeks)
    3. Progressive return to functional activities (6-12 weeks)
    4. Sport-specific training and reconditioning (>12 weeks)

    Tip: Consistent follow-up with healthcare providers and adherence to the rehabilitation protocol are essential for a successful outcome.

    Conclusion

    In conclusion, anterior knee pain is a complex condition with multiple potential causes, including overuse injuries, biomechanical issues, and structural abnormalities. Understanding the underlying factors contributing to anterior knee pain is crucial for effective diagnosis and treatment. By addressing the root causes and implementing targeted interventions, individuals experiencing anterior knee pain can achieve improved functionality and long-term relief. Further research and clinical studies are needed to enhance our understanding of this prevalent issue and develop more comprehensive treatment strategies.

    Frequently Asked Questions

    What are the common causes of anterior knee pain?

    Common causes of anterior knee pain include patellofemoral pain syndrome, patellar tendonitis, osteoarthritis, and overuse injuries.

    How is anterior knee pain diagnosed?

    Anterior knee pain is diagnosed through a physical examination, imaging studies such as X-rays and MRI, and a differential diagnosis to rule out other potential causes.

    What are the risk factors for developing anterior knee pain?

    Risk factors for anterior knee pain include overuse or repetitive strain on the knee joint, poor biomechanics, muscle imbalances, and previous knee injuries.

    What are the conservative management options for anterior knee pain?

    Conservative management options include rest, ice, elevation, nonsteroidal anti-inflammatory drugs (NSAIDs), and activity modification.

    What types of physical therapy interventions are effective for anterior knee pain?

    Physical therapy interventions such as strengthening exercises, stretching, manual therapy, and biomechanical correction can be effective for anterior knee pain.

    When is surgical intervention recommended for anterior knee pain?

    Surgical intervention is recommended for anterior knee pain when conservative treatments and physical therapy have not provided relief, and there is significant structural damage or malalignment of the knee joint.

  • Exploring Double Knee Replacement Surgery

    Exploring Double Knee Replacement Surgery

    This article explores the process of double knee replacement surgery, from understanding knee osteoarthritis to postoperative rehabilitation and recovery. Each section provides valuable insights into the causes, symptoms, diagnosis, preoperative preparation, surgical procedure, and postoperative care for double knee replacement surgery.

    Key Takeaways

    • Knee osteoarthritis is a leading cause of double knee replacement surgery.
    • Preoperative preparation involves medical evaluation, physical therapy, and nutritional guidelines.
    • The surgical procedure includes anesthesia, incision, and implantation of prosthetic knees.
    • Postoperative rehabilitation focuses on physical therapy, pain management, and home care.
    • Double knee replacement surgery significantly improves mobility and quality of life for patients.

    Understanding Knee Osteoarthritis

    thumbnail

    Causes of Knee Osteoarthritis

    We recognize that knee osteoarthritis is a multifactorial disease, with a variety of factors contributing to its onset and progression. The primary cause is the degradation of cartilage in the knee joint, which can be attributed to several underlying factors. These include age-related wear and tear, obesity, which places extra stress on the joints, and previous knee injuries that may have caused damage to the cartilage or altered the mechanics of the knee.

    Genetic predisposition also plays a role, as we see a higher incidence of knee osteoarthritis in certain families. Other contributing factors are occupational hazards, particularly those involving repetitive stress on the knees, and certain metabolic diseases.

    • Age-related wear and tear
    • Obesity
    • Previous knee injuries
    • Genetic predisposition
    • Occupational hazards
    • Metabolic diseases

    Tip: Maintaining a healthy weight and engaging in regular, low-impact exercise can help reduce the risk of developing knee osteoarthritis.

    Symptoms of Knee Osteoarthritis

    As we delve into the symptoms of knee osteoarthritis, it’s crucial to recognize the varied ways in which this condition can manifest. The primary symptom most individuals experience is pain during or after movement. This discomfort can range from a dull ache to a sharp, stabbing sensation, often worsening after periods of inactivity or excessive use.

    Stiffness is another common symptom, particularly noticeable upon waking or after sitting for extended periods. The affected joints may feel tight, making it difficult to achieve full range of motion. Swelling and tenderness around the knee joint are also prevalent, caused by inflammation within the joint capsule.

    • Pain during or after movement
    • Stiffness after inactivity
    • Swelling and tenderness around the joint
    • Reduced range of motion
    • A grating sensation or crepitus when moving the knee

    It’s important to pay attention to these symptoms, as early detection and treatment can significantly slow the progression of osteoarthritis and improve quality of life.

    Diagnosis of Knee Osteoarthritis

    After observing the symptoms of knee osteoarthritis, we proceed to its diagnosis, which is crucial for determining the appropriate treatment plan. We begin with a thorough medical history and a physical examination, focusing on the knee’s range of motion, stability, and strength. Radiographic tests, such as X-rays, are essential as they reveal the extent of joint damage and the presence of bone spurs.

    To further assess the condition, we may also employ magnetic resonance imaging (MRI) to visualize soft tissue structures, including cartilage, ligaments, and the meniscus. However, an MRI is not always necessary for diagnosis, as the clinical presentation and X-rays often suffice.

    Blood tests are not typically used to diagnose osteoarthritis but may be conducted to rule out other conditions, such as rheumatoid arthritis. In some cases, a joint fluid analysis can help exclude gout or infection.

    Remember, early and accurate diagnosis of knee osteoarthritis is key to managing symptoms and planning for potential surgical interventions, such as double knee replacement surgery.

    Preoperative Preparation for Double Knee Replacement Surgery

    thumbnail

    Medical Evaluation for Surgery

    Before undergoing the surgery, medical evaluation is crucial for assessing our overall health and identifying any potential risks. This evaluation involves a comprehensive review of our medical history, physical examination, and diagnostic tests. Additionally, we may need to undergo blood tests, electrocardiogram (ECG), and chest X-rays to ensure that we are in optimal condition for the procedure. Here is a brief table summarizing the key components of the medical evaluation:

    Test/Examination Purpose
    Medical history review Identify pre-existing conditions
    Physical examination Assess joint function and mobility
    Blood tests Evaluate blood count and clotting ability
    ECG Assess heart function
    Chest X-rays Check for respiratory health

    It’s important to adhere to the guidelines provided by the healthcare team and to communicate any concerns or questions during this evaluation process. This ensures that we are well-prepared for the upcoming surgery and can minimize any potential complications. As we proceed with the evaluation, it’s essential to maintain open communication with our healthcare providers and follow their recommendations closely.

    Physical Therapy and Exercise

    After discussing the medical evaluation for surgery, physical therapy and exercise play a crucial role in preparing for double knee replacement. Our team emphasizes the importance of consistent exercise and rehabilitation to optimize the outcome of the surgery. It is essential to follow the prescribed exercise regimen to strengthen the muscles and improve flexibility in the knees. Additionally, maintaining a balanced diet and proper nutrition is vital for overall health and recovery. Here is a brief overview of the recommended nutritional guidelines:

    Nutrient Recommended Intake
    Protein 1.2-1.5 grams/kg
    Vitamin C 90 mg/day
    Calcium 1000-1200 mg/day

    It is important to consult with a nutritionist or healthcare provider to personalize the nutritional plan based on individual needs. Our team is dedicated to providing comprehensive support and guidance throughout the preoperative phase, ensuring that patients are well-prepared for the upcoming double knee replacement surgery.

    Nutritional Guidelines

    When it comes to nutritional guidelines, we emphasize the importance of a balanced diet rich in essential nutrients. Proper nutrition plays a crucial role in preparing our bodies for the upcoming surgery. It’s essential to focus on consuming foods that promote healing and support overall health. This includes a variety of fruits, vegetables, lean proteins, and whole grains. Additionally, we recommend limiting the intake of processed foods and sugary beverages to optimize our nutritional status.

    Furthermore, staying hydrated is paramount for our well-being. Adequate water intake aids in the body’s recovery process and helps prevent complications. We encourage maintaining a steady intake of water throughout the day to ensure proper hydration.

    In addition to these dietary recommendations, it’s important to consult with our healthcare provider for personalized nutritional guidance based on our individual needs and medical history.

    Surgical Procedure for Double Knee Replacement

    thumbnail

    Anesthesia and Incision

    Once we have ensured that our patient is comfortable and all preoperative checks are complete, we proceed with the administration of anesthesia. The type of anesthesia used is typically general, but in some cases, spinal or epidural anesthesia may be considered. The choice depends on various factors, including the patient’s health and the surgeon’s preference.

    Following the onset of anesthesia, a careful and precise incision is made to expose the knee joint. This incision is typically 8 to 10 inches long and allows for the damaged surfaces of the knee joint to be fully accessible. It’s crucial that we maintain a sterile environment throughout the procedure to prevent infection.

    Remember, the goal of the incision is not just access, but also to ensure minimal impact on surrounding tissues for a smoother recovery.

    The incision is the first step in a series of carefully orchestrated maneuvers that will lead to the implantation of the prosthetic knees. Here is a brief overview of the steps that follow the incision:

    • Preparation of the bone surfaces
    • Alignment and placement of the prosthetic components
    • Testing the movement of the prosthetic joint
    • Closure of the incision with sutures or staples

    Implantation of Prosthetic Knees

    Following the preparation of the knee area, we proceed with the implantation of the prosthetic knees. This critical phase involves the precise placement of the artificial components that will form the new joint surfaces. The components typically include a femoral piece, a tibial component, and a patellar part, which are designed to mimic the natural articulation of the knee.

    Careful alignment is essential to ensure the longevity and functionality of the prosthetic knees. We use specialized instruments to measure and achieve the correct positioning. Once the components are secured, we test the range of motion and stability of the new joint.

    It is crucial to maintain a sterile environment throughout the procedure to prevent infection.

    The success of the surgery is not only dependent on the skill of the surgical team but also on the quality of the prosthetic materials used. Recent advancements in technology have led to the development of highly durable and biocompatible materials, contributing to improved patient outcomes.

    Recovery Room Care

    After the surgical procedure for double knee replacement, monitoring and care in the recovery room are crucial. Vital signs, such as blood pressure, heart rate, and oxygen saturation, will be closely observed. Additionally, postoperative pain management will be initiated to ensure comfort and stability. Patients will receive detailed instructions for postoperative care and will be encouraged to engage in early mobilization and breathing exercises to promote optimal recovery. A comprehensive care plan will be tailored to each patient’s specific needs, addressing pain management, wound care, and early mobilization.

    Postoperative Rehabilitation and Recovery

    thumbnail

    Physical Therapy and Rehabilitation Exercises

    After completing the physical therapy and rehabilitation exercises, we focus on pain management strategies. This involves a combination of medication, ice therapy, and relaxation techniques to alleviate discomfort and promote healing. Additionally, we emphasize the importance of home care and assistance. This includes creating a safe and supportive environment at home, as well as arranging for help with daily activities and mobility. We understand that the recovery period can be challenging, and having the right support system in place is crucial for a successful rehabilitation journey.

    Pain Management Strategies

    After undergoing double knee replacement surgery, pain management is a crucial aspect of our recovery process. We focus on a combination of medication, physical therapy, and lifestyle adjustments to ensure that we manage pain effectively. It’s important to communicate any discomfort or changes in pain levels to our healthcare team to receive the appropriate support and adjustments to our pain management plan.

    In addition, maintaining a balanced and nutritious diet is essential for our recovery. Consuming foods rich in anti-inflammatory properties can aid in reducing postoperative pain and promoting healing. Our healthcare team will provide us with nutritional guidelines to support our recovery and overall well-being.

    Furthermore, staying active and engaging in prescribed rehabilitation exercises is vital for regaining strength and mobility. Our physical therapist will guide us through a personalized exercise program that aligns with our recovery goals and ensures a smooth transition back to our daily activities.

    Lastly, it’s important to create a supportive environment at home to facilitate our recovery. This may involve arranging assistance for daily tasks, ensuring a safe and accessible living space, and having open communication with our loved ones about our needs during the recovery period.

    Home Care and Assistance

    After undergoing double knee replacement surgery, recovery and rehabilitation are crucial for restoring mobility and regaining strength. Our home care and assistance plan is designed to provide comprehensive support during this phase. It includes a combination of physical therapy sessions, pain management strategies, and personalized care to ensure a smooth transition back to daily activities. Additionally, patients are encouraged to maintain a balanced diet and adhere to the prescribed medication schedule to facilitate the recovery process. Here is a brief overview of the postoperative care and assistance plan:

    Aspect Details
    Physical Therapy Sessions Regular sessions to improve mobility and strength
    Pain Management Strategies Medication, ice therapy, and relaxation techniques
    Personalized Care Assistance with daily activities and monitoring of progress

    It’s important to follow the postoperative care plan diligently to achieve optimal results and minimize the risk of complications.

    Conclusion

    In conclusion, the exploration of double knee replacement surgery has provided valuable insights into the intricacies of this medical procedure. The recovery process, surgical techniques, and patient outcomes have been examined in depth, shedding light on the complexities and considerations involved in this treatment. Further research in this area is essential to enhance our understanding and improve the efficacy of double knee replacement surgery for the benefit of patients.

    Frequently Asked Questions

    What is the success rate of double knee replacement surgery?

    The success rate of double knee replacement surgery is generally high, with most patients experiencing significant improvement in pain relief and mobility.

    How long does it take to recover from double knee replacement surgery?

    Recovery time can vary, but most patients can expect to see significant improvement in mobility and function within 3 to 6 months after surgery.

    What are the potential risks and complications of double knee replacement surgery?

    Potential risks and complications include infection, blood clots, implant failure, and nerve damage. Your surgeon will discuss these risks with you before the surgery.

    Will I be able to resume normal activities after double knee replacement surgery?

    Many patients are able to resume normal activities such as walking, climbing stairs, and low-impact exercises after fully recovering from double knee replacement surgery.

    How long do the prosthetic knees last?

    Prosthetic knees are designed to last for 15-20 years or more, depending on factors such as the patient’s activity level and overall health.

    What lifestyle changes should I make after double knee replacement surgery?

    After surgery, it’s important to maintain a healthy weight, engage in regular low-impact exercise, and avoid activities that put excessive strain on the knees to prolong the lifespan of the prosthetic knees.

  • Medial and Lateral Meniscus Injuries: What You Need to Know

    Medial and Lateral Meniscus Injuries: What You Need to Know

    Medial and lateral meniscus injuries are common orthopedic conditions that can significantly impact an individual’s mobility and quality of life. Understanding the anatomy, causes, diagnosis, and treatment options for these injuries is crucial for both patients and healthcare professionals. This article provides an overview of the key aspects related to medial and lateral meniscus injuries, offering valuable insights into their management and recovery.

    Key Takeaways

    • The medial meniscus provides stability to the knee joint and is more commonly injured than the lateral meniscus.
    • Traumatic injuries, such as sports-related activities, are a common cause of meniscus injuries, while degenerative changes can occur with aging and repetitive stress.
    • Physical examination and imaging techniques, such as MRI, play a crucial role in diagnosing meniscus injuries.
    • Conservative management, including rest, ice, and physical therapy, is often the first-line treatment for meniscus injuries.
    • Surgical interventions, such as arthroscopic meniscus repair or partial meniscectomy, may be necessary for severe or complex meniscus injuries.

    Anatomy of the Medial and Lateral Meniscus

    Structure and Function of the Medial Meniscus

    We understand the medial meniscus as a crucial component of the knee joint, primarily responsible for absorbing shock and stabilizing the joint during movement. Composed of fibrocartilaginous tissue, it is a C-shaped structure that conforms to the medial compartment of the knee, offering a cushion between the femur and the tibia.

    The medial meniscus performs several vital functions, including:

    • Load distribution: It evenly disperses the weight of the body across the knee joint.
    • Joint lubrication: It aids in the reduction of friction between the articulating surfaces of the knee.
    • Proprioception: It provides sensory feedback that helps in coordinating movement and balance.

    Remember, maintaining the integrity of the medial meniscus is essential for knee health and function. Any injury to this structure can significantly impair mobility and lead to joint instability.

    Injuries to the medial meniscus are often associated with twisting motions or forceful impacts, particularly in athletic activities. Recognizing the symptoms early and seeking appropriate medical attention is key to preventing long-term damage.

    Structure and Function of the Lateral Meniscus

    The lateral meniscus, located on the outer edge of the knee joint, plays a vital role in distributing weight and reducing friction during movement. It works in conjunction with the medial meniscus to provide stability and cushioning to the knee. In a healthy knee, the lateral meniscus contributes to approximately 70% of the load-bearing capacity of the joint. This distribution of weight ensures that the knee joint remains stable and functional during various activities, including walking, running, and jumping. Maintaining the integrity of the lateral meniscus is essential for optimal knee function and overall joint health.

    Causes of Medial and Lateral Meniscus Injuries

    thumbnail

    Traumatic Injuries

    We understand that the menisci are vulnerable to traumatic injuries, particularly during activities that involve aggressive twisting or hyperflexion of the knee. Such injuries are common in sports that require quick turns and stops, such as soccer, basketball, and skiing.

    The mechanism of injury often involves a combination of compression and shear forces that exceed the tissue’s ability to absorb shock and maintain stability. This can result in tears ranging from minor to severe, with symptoms that may include pain, swelling, and difficulty moving the knee.

    • Early recognition and appropriate management are crucial to prevent further damage and ensure the best possible outcome. *

    Here is a list of common movements that can lead to traumatic meniscus injuries:

    • Sudden pivoting or cutting maneuvers
    • Deep squatting or kneeling
    • Direct impact to the knee
    • Forceful hyperextension or rotation

    Tip: To reduce the risk of meniscus injuries, it is advisable to engage in strength and flexibility training, particularly for the muscles surrounding the knee.

    Degenerative Changes

    As we delve into the causes of meniscus injuries, we must consider the impact of degenerative changes. Over time, the menisci can deteriorate due to aging and wear-and-tear, reducing their ability to cushion and stabilize the knee joint. This process is often asymptomatic initially but may eventually lead to pain, stiffness, and limited mobility.

    Osteoarthritis is a common condition associated with meniscal degeneration. The breakdown of cartilage that characterizes osteoarthritis can exacerbate the weakening of the meniscus, making it more susceptible to tears even with minor trauma.

    Tip: Maintaining a healthy weight and regular exercise can help slow the progression of degenerative changes in the menisci.

    Risk factors for degenerative meniscus injuries include:

    • Age, typically affecting individuals over 40
    • History of knee injuries
    • Occupations or activities that place excessive stress on the knees
    • Metabolic and genetic factors that may predispose individuals to joint degeneration

    Diagnosis of Meniscus Injuries

    thumbnail

    Physical Examination

    In our clinical practice, we place significant emphasis on the physical examination when assessing potential meniscus injuries. This step is crucial as it allows us to evaluate the knee’s range of motion, stability, and the presence of any joint line tenderness, which can be indicative of a meniscus tear. We perform specific maneuvers, such as the McMurray test, where we rotate the knee while it is bent and then straighten it to check for pain or a clicking sound, which may suggest a tear.

    We also assess for effusion, or swelling within the knee joint, which can be a sign of internal knee damage including meniscus injuries. It’s important to note that while these tests are valuable, they are not infallible. A lack of symptoms during these tests does not necessarily rule out a meniscus injury.

    Tip: Always consider the patient’s history and symptomatology in conjunction with the physical examination findings to form a more accurate clinical picture.

    Imaging Techniques

    In our quest to accurately diagnose meniscus injuries, we often turn to imaging techniques. These methods provide us with a clear picture of the internal structures of the knee, allowing us to assess the extent of the injury. Magnetic Resonance Imaging (MRI) is the gold standard for visualizing meniscus tears due to its high sensitivity and specificity. However, we also consider other modalities such as ultrasound and X-rays, particularly when MRI is contraindicated or unavailable.

    Ultrasound is advantageous for its real-time imaging capabilities, which can be particularly useful in dynamic assessments. X-rays, while not as detailed for soft tissue injuries, can help rule out other conditions such as fractures or osteoarthritis. It’s important to note that while imaging provides valuable information, it should be interpreted in conjunction with clinical findings.

    Tip: Always correlate imaging results with physical examination findings to ensure a comprehensive assessment of the meniscus injury.

    Treatment Options for Meniscus Injuries

    Conservative Management

    After considering the various conservative management options, surgical interventions may be necessary in cases of severe or persistent symptoms. It is important to note that arthroscopic surgery is the most common surgical procedure for meniscus injuries. This minimally invasive technique allows for precise visualization and treatment of the affected area. In some cases, partial meniscectomy or meniscal repair may be recommended based on the location and severity of the injury.

    • Arthroscopic Surgery: A minimally invasive surgical procedure that provides precise visualization and treatment of meniscus injuries.
    • Partial Meniscectomy: Surgical removal of a portion of the damaged meniscus.
    • Meniscal Repair: Surgical technique to repair the torn or damaged meniscus.

    It is crucial to follow post-operative rehabilitation guidelines to optimize recovery and prevent complications. Adequate rest, physical therapy, and gradual return to activity are essential components of the recovery process.

    Surgical Interventions

    When conservative management fails to provide relief or when the injury is severe, we often recommend surgical interventions. These procedures aim to repair or remove damaged tissue, thereby restoring function and alleviating pain. The most common surgeries for meniscus injuries are meniscectomy, where part of the meniscus is removed, and meniscus repair, which involves suturing the torn edges.

    • Meniscectomy is typically performed arthroscopically, a minimally invasive technique that reduces recovery time and postoperative complications. However, it’s important to note that removing meniscal tissue can increase the risk of osteoarthritis in the knee.

    • Meniscus repair is preferred when the tear is in the meniscus’s outer region, where blood supply is sufficient for healing. This procedure aims to preserve as much of the meniscus as possible, which is crucial for maintaining knee health and function.

    Tip: Always discuss the potential risks and benefits of surgical options with your healthcare provider to make an informed decision about your treatment plan.

    Conclusion

    In conclusion, understanding the complexities of medial and lateral meniscus injuries is crucial for both medical professionals and individuals seeking to prevent or manage such conditions. The intricate interplay between anatomy, biomechanics, and injury mechanisms underscores the importance of comprehensive knowledge in this area. Further research and clinical advancements are essential for improving the diagnosis, treatment, and long-term outcomes of meniscus injuries.

    Frequently Asked Questions

    What are the symptoms of a meniscus injury?

    Symptoms of a meniscus injury may include pain, swelling, stiffness, and difficulty moving the knee.

    How are meniscus injuries diagnosed?

    Meniscus injuries are diagnosed through a physical examination and imaging techniques such as MRI or X-ray.

    What causes degenerative changes in the meniscus?

    Degenerative changes in the meniscus can be caused by aging, wear and tear, and repetitive stress on the knee joint.

    Can meniscus injuries heal on their own?

    Minor meniscus injuries may heal on their own with rest, ice, and physical therapy. However, more severe injuries may require surgical intervention.

    What are the risks of surgical intervention for meniscus injuries?

    Risks of surgical intervention for meniscus injuries include infection, blood clots, and the potential for further damage to the knee.

    How long does it take to recover from meniscus surgery?

    Recovery time from meniscus surgery varies, but it generally takes several weeks to months to fully recover and return to normal activities.

  • Understanding Knee and Hip Pain on One Side

    Understanding Knee and Hip Pain on One Side

    Knee and hip pain on one side can be a debilitating condition that affects daily activities and quality of life. Understanding the anatomy, causes, diagnosis, and treatment options is essential for effective management. This article aims to provide insight into the complexities of unilateral knee and hip pain and offer key takeaways for a better understanding.

    Key Takeaways

    • Unilateral knee and hip pain can be caused by inflammatory conditions, degenerative joint diseases, or traumatic injuries.
    • Physical examination, imaging studies, and differential diagnosis are crucial for accurate diagnosis and assessment of unilateral knee and hip pain.
    • Conservative management, surgical interventions, and rehabilitation strategies are the main treatment options for unilateral knee and hip pain.
    • Early intervention and proper diagnosis are essential for preventing long-term complications associated with unilateral knee and hip pain.
    • Multidisciplinary approach involving healthcare professionals such as orthopedic surgeons, physical therapists, and pain management specialists is beneficial for comprehensive management of unilateral knee and hip pain.

    Anatomy of Knee and Hip Joints

    thumbnail

    Structure and Function of Knee Joint

    The knee joint is a complex hinge joint that allows for flexion, extension, and limited rotation. Articular cartilage covers the ends of the bones, providing smooth movement and cushioning. Ligaments, including the anterior cruciate ligament (ACL) and posterior cruciate ligament (PCL), provide stability and prevent excessive movement. The menisci, located between the femur and tibia, act as shock absorbers and enhance joint stability.

    Structure Function
    Femur Articulates with tibia and patella
    Tibia Supports body weight and articulates with femur
    Patella Protects knee joint and enhances leverage
    Quadriceps muscles Extend the knee joint and stabilize the patella
    Hamstring muscles Flex the knee joint and aid in hip extension

    Structure and Function of Hip Joint

    We understand the hip joint to be a pivotal element in the human body’s mobility. It is a ball-and-socket joint, where the femoral head fits into the acetabulum of the pelvis, allowing for a wide range of motion. The stability of the hip joint is maintained by a complex interplay of ligaments, muscles, and the joint capsule.

    The primary function of the hip joint is to support the weight of the body in both static and dynamic postures. This joint enables us to perform essential movements such as walking, running, and jumping. It is also crucial for maintaining balance and posture.

    • Ligaments of the Hip Joint
      • Iliofemoral ligament
      • Pubofemoral ligament
      • Ischiofemoral ligament

    Tip: Regular exercise and maintaining a healthy weight can significantly reduce the risk of developing hip pain.

    In our research, we often encounter various factors that can affect the hip joint’s health, such as the impact of youth baseball batting on hip pain or the benefits of strength training in cricketers. While these activities are specific to athletes, the lessons learned can be applied to the general population to prevent hip pain and maintain joint health.

    Causes of Unilateral Knee and Hip Pain

    thumbnail

    Inflammatory Conditions

    We often encounter patients who suffer from unilateral knee and hip pain due to various inflammatory conditions. These ailments can range from autoimmune disorders like rheumatoid arthritis to more localized issues such as bursitis or tendinitis. The inflammation can lead to significant discomfort and impair mobility, making early diagnosis and management crucial.

    Inflammatory conditions typically present with symptoms such as swelling, redness, warmth, and pain that is often worse in the morning or after periods of inactivity. To better understand these conditions, let’s consider the following list of common inflammatory diseases that can affect the knee and hip joints:

    • Rheumatoid arthritis
    • Psoriatic arthritis
    • Ankylosing spondylitis
    • Septic arthritis
    • Bursitis
    • Tendinitis

    Tip: It’s essential to distinguish between the various inflammatory conditions, as each requires a unique treatment approach. For instance, managing an autoimmune disorder may involve immunosuppressive medications, whereas treating an infection would require antibiotics.

    Our approach to managing these conditions involves a combination of medication, lifestyle modifications, and sometimes physical therapy. The goal is to reduce inflammation, alleviate pain, and prevent further joint damage. It’s important to note that while some inflammatory conditions can be managed effectively with conservative measures, others may progress and necessitate more aggressive treatment strategies.

    Degenerative Joint Diseases

    Degenerative joint diseases, such as osteoarthritis, are characterized by the gradual breakdown of cartilage and the formation of bone spurs. Inflammation and pain are common symptoms, often leading to limited mobility and reduced quality of life. Conservative management is often the first line of treatment, including weight management and physical therapy. In some cases, surgical interventions may be necessary to address severe joint damage. It’s important to consider the long-term implications of these diseases on overall joint health and function.

    Traumatic Injuries

    Traumatic injuries to the knee and hip joints can result in significant pain and functional impairment. Acute trauma, such as a sports-related injury or a fall, can lead to sudden and severe pain, swelling, and limited range of motion. It is important to promptly assess and manage traumatic injuries to prevent long-term complications. In some cases, surgical intervention may be necessary to repair damaged structures and restore joint function. Rehabilitation following traumatic injuries is crucial for optimizing recovery and regaining strength and mobility. It involves a comprehensive program of exercises, physical therapy, and gradual return to activities. Consistent adherence to the rehabilitation plan is essential for achieving the best outcomes and reducing the risk of recurrent injuries.

    Diagnosis and Assessment

    thumbnail

    Physical Examination

    In the process of diagnosing unilateral knee and hip pain, physical examination plays a crucial role in evaluating the range of motion, joint stability, and signs of inflammation. Additionally, imaging studies such as X-rays and MRI scans provide detailed insights into the structural integrity of the affected joints. These assessments aid in formulating a comprehensive differential diagnosis, considering various musculoskeletal and neurological conditions. It is important to interpret the findings of these assessments in conjunction with the patient’s medical history and clinical presentation to establish an accurate diagnosis and guide the subsequent treatment plan.

    Imaging Studies

    Following a thorough physical examination, we often turn to imaging studies to gain a deeper understanding of the underlying causes of unilateral knee and hip pain. These diagnostic tools provide us with detailed images of the internal structures, allowing for a more accurate assessment.

    The most common imaging modalities we utilize include X-rays, which are quick and useful for detecting bone abnormalities, and Magnetic Resonance Imaging (MRI) scans, which offer a more comprehensive view of both bone and soft tissues. Ultrasound and Computerized Tomography (CT) scans also play a role in certain cases, particularly when we suspect soft tissue injuries or require a cross-sectional view of the joint.

    It is crucial to select the most appropriate imaging study based on the patient’s symptoms and the findings from the physical examination to ensure a precise diagnosis.

    The choice of imaging technique is guided by the suspected condition, as each modality has its strengths. For instance, MRI is particularly beneficial in diagnosing ligament tears or cartilage damage, while X-rays are the first line of investigation for fractures or osteoarthritis.

    Differential Diagnosis

    In the process of diagnosing unilateral knee and hip pain, physical examination plays a crucial role in identifying specific signs and symptoms. Additionally, imaging studies such as X-rays and MRI scans provide valuable insights into the structural integrity of the affected joints. These assessments aid in formulating a comprehensive differential diagnosis to distinguish between various underlying conditions. It is important to note that the differential diagnosis may include but is not limited to:

    Treatment Options

    thumbnail

    Conservative Management

    In our approach to conservative management, we prioritize non-invasive interventions such as physical therapy, exercise, and lifestyle modifications. These methods aim to reduce pain, improve function, and enhance overall quality of life for individuals experiencing unilateral knee and hip pain. Our team emphasizes the importance of personalized care and tailored treatment plans to address the unique needs of each patient. We believe in the power of holistic care that encompasses both physical and emotional well-being.

    Surgical Interventions

    When conservative management fails to alleviate knee and hip pain on one side, we often consider surgical interventions. These procedures are tailored to the individual’s condition and may range from minimally invasive arthroscopic surgery to total joint replacement. It’s crucial to understand that surgery is not a one-size-fits-all solution and the choice of procedure depends on factors such as the severity of the disease, age, and overall health of the patient.

    • Postoperative care is essential for a successful outcome. Patients must adhere to a structured rehabilitation program to restore joint function and mobility. This typically includes physical therapy, pain management, and gradual return to activities. It’s important to note that recovery times can vary significantly among individuals.

    Overcoming setbacks with the right strategies is key to a successful recovery. It is not uncommon for patients to experience challenges, such as the one mentioned at week 10 post-surgery. Being prepared and having a supportive care team can make a significant difference in the recovery process.

    The following list outlines common surgical interventions for unilateral knee and hip pain:

    • Arthroscopic debridement or repair
    • Osteotomy to correct joint alignment
    • Partial or total knee replacement
    • Hip resurfacing or total hip replacement
    • Ligament reconstruction or repair

    Rehabilitation Strategies

    After addressing the immediate concerns through conservative management or surgical interventions, we turn our focus to rehabilitation strategies. These strategies are crucial for restoring function, improving mobility, and reducing the risk of future injury. A comprehensive rehabilitation program is tailored to each individual’s needs, taking into account the severity of their condition and their overall health status.

    Our approach to rehabilitation typically includes a combination of physical therapy exercises, pain management techniques, and education on body mechanics. We emphasize the importance of patient involvement and commitment to the rehabilitation process, as active participation is key to a successful recovery.

    Physical therapy exercises are designed to strengthen the muscles around the knee and hip joints, improve flexibility, and increase range of motion. Here’s a simplified outline of a typical rehabilitation regimen:

    • Initial assessment to determine specific needs
    • Development of a personalized exercise program
    • Regular progress evaluations and adjustments to the program
    • Education on proper body mechanics to prevent re-injury

    Tip: Consistency in performing prescribed exercises and attending therapy sessions is vital for optimal recovery.

    It’s important to note that rehabilitation is a journey, often requiring patience and perseverance. We work closely with our patients to set realistic goals and provide support throughout their recovery.

    Conclusion

    In conclusion, this article has provided a comprehensive overview of the factors contributing to knee and hip pain on one side. By examining the asymmetry in musculoskeletal function and the role of posture in pain development, we have gained valuable insights into the complexities of unilateral joint discomfort. Further research and clinical investigation are necessary to deepen our understanding and develop effective interventions for individuals experiencing these challenging conditions.

    Frequently Asked Questions

    What are the common symptoms of unilateral knee and hip pain?

    Common symptoms include pain, swelling, stiffness, and difficulty with movement.

    Can unilateral knee and hip pain be caused by overuse or repetitive strain?

    Yes, overuse or repetitive strain can lead to knee and hip pain on one side due to wear and tear on the joints.

    Is it necessary to seek medical attention for unilateral knee and hip pain?

    It is advisable to seek medical attention to determine the underlying cause and receive appropriate treatment.

    What imaging studies are commonly used to diagnose knee and hip problems?

    X-rays, MRI, and CT scans are commonly used to diagnose knee and hip issues and assess the extent of damage.

    Are there non-surgical treatment options for unilateral knee and hip pain?

    Yes, non-surgical options such as physical therapy, medication, and lifestyle modifications can be effective in managing knee and hip pain.

    What is the typical recovery time after surgical intervention for knee and hip problems?

    Recovery time varies depending on the type of surgery, but it may range from several weeks to several months.

  • Managing Inverted Knees: Treatment Options

    Managing Inverted Knees: Treatment Options

    Inverted knees, also known as genu recurvatum, is a condition where the knees bend backwards, causing discomfort and difficulty in movement. This article explores the anatomy, causes, symptoms, diagnosis, and treatment options for managing inverted knees.

    Key Takeaways

    • Understanding the anatomy and causes of inverted knees is essential for effective treatment and management.
    • Physical therapy plays a crucial role in strengthening the muscles around the knee and improving flexibility.
    • Bracing and support devices can help stabilize the knee joint and reduce strain on the inverted knees.
    • Surgical treatment for inverted knees may involve realignment procedures and a comprehensive rehabilitation process.
    • Regular orthopedic evaluations are important for monitoring the progress of inverted knee treatment and addressing any potential complications.

    Understanding Inverted Knees

    thumbnail

    Anatomy of Inverted Knees

    Inverted knees, also known as genu varum, are characterized by an inward deviation of the knees. This condition can affect individuals of all ages, from children to adults. The alignment of the lower extremities plays a crucial role in weight-bearing and locomotion. Understanding the anatomy of inverted knees is essential for evaluating the impact of this condition on musculoskeletal function. The table below summarizes the key anatomical features of inverted knees:| Feature | Description || — | — || Femoral-Tibial Angle | The angle formed by the intersection of the femur and tibia. || Joint Space Width | The distance between the femur and tibia at the knee joint. || Patellar Alignment | The position of the patella in relation to the femur and tibia. |

    Causes of Inverted Knees

    We recognize that the etiology of inverted knees is multifaceted, often involving a combination of genetic and environmental factors. Genetic predisposition plays a significant role, as the condition can run in families. However, environmental influences, such as repetitive stress on the knees from certain sports or occupations, also contribute to the development of this condition.

    Injuries and muscle imbalances are other critical factors that can lead to inverted knees. For instance, damage to the knee ligaments or muscles can alter leg alignment, causing the knees to invert. Additionally, muscle weakness, particularly in the muscles around the hips and thighs, can exacerbate this misalignment.

    • Genetic Predisposition
    • Repetitive Stress
    • Injuries and Muscle Imbalances
    • Muscle Weakness

    Tip: Strengthening exercises for the hips and thighs can help in managing knee alignment and reducing the risk of inverted knees.

    Symptoms of Inverted Knees

    Inverted knees can cause discomfort and affect our daily activities. It’s important to pay attention to subtle changes in the alignment of the knees, such as inward pointing of the knees during standing or walking. These changes may indicate the presence of inverted knees and should be evaluated by a healthcare professional. Additionally, individuals with inverted knees may experience instability during physical activities, which can lead to further complications. It’s crucial to recognize these symptoms early and seek appropriate medical advice.

    Diagnosing Inverted Knees

    thumbnail

    Physical Examination

    Upon completion of the physical examination, we carefully analyze the patient’s gait, joint stability, and range of motion. Additionally, we assess for any signs of discomfort or pain during movement. This comprehensive evaluation informs our decision-making process and guides the development of a personalized treatment plan.

    In some cases, imaging tests such as X-rays, MRIs, or CT scans may be utilized to further assess the alignment and condition of the knee joint. These diagnostic tools provide valuable insights into the structural integrity and any potential abnormalities.

    Furthermore, the orthopedic evaluation involves a detailed assessment of the patient’s medical history, previous injuries, and lifestyle factors that may contribute to the condition. This holistic approach enables us to consider all relevant factors when determining the most effective course of action.

    Lastly, it is important to note that the results of these diagnostic procedures are crucial in establishing a precise diagnosis and formulating an evidence-based treatment strategy.

    Imaging Tests

    In our assessment of inverted knees, we place significant emphasis on imaging tests. These tests provide us with a detailed view of the knee’s structure, allowing us to identify any abnormalities or underlying conditions that may be contributing to the inversion. Common imaging tests include X-rays, which can reveal bone deformities, and MRI scans, which offer a more comprehensive look at both bone and soft tissue.

    • Magnetic Resonance Imaging (MRI):* Provides detailed images of soft tissues such as ligaments, tendons, and cartilage.
    • X-ray:* Useful for detecting bone deformities and ruling out other conditions.
    • Ultrasound:* Can assess the soft tissue structures around the knee and their dynamic function.

    Remember, the choice of imaging test will depend on the individual’s specific condition and the information required to formulate an effective treatment plan.

    Orthopedic Evaluation

    After the orthopedic evaluation, we carefully assess the patient’s range of motion, joint stability, and gait. Additionally, we may conduct specialized tests to evaluate ligament and tendon function. We prioritize a comprehensive approach to ensure accurate diagnosis and personalized treatment plans. This may involve collaborating with other healthcare professionals to gather a holistic view of the patient’s condition. In some cases, a table summarizing the results of the evaluation may be beneficial for tracking progress and informing treatment decisions.

    Non-Surgical Treatment Options

    thumbnail

    Physical Therapy

    Physical therapy plays a crucial role in the management of inverted knees. It is a comprehensive approach that focuses on improving strength, flexibility, and range of motion in the affected knees. Our team emphasizes the importance of personalized exercise regimens tailored to each patient’s specific needs. Additionally, we track progress through regular assessments to ensure that the therapy is yielding the desired results. Here’s a brief overview of the key components of physical therapy for managing inverted knees:

    1. Strength Training: Targeted exercises to build muscle strength and stability around the knee joint.
    2. Flexibility Exercises: Techniques to enhance the flexibility of the knee joint and surrounding muscles.
    3. Range of Motion Activities: Controlled movements to improve the range of motion in the knee joint.

    By incorporating these elements into our physical therapy programs, we aim to optimize the functional capacity of the knees and enhance overall mobility and comfort.

    Bracing and Support

    After discussing the benefits of bracing and support in managing inverted knees, we can see that these interventions play a crucial role in providing stability and reducing discomfort. Bracing helps to align the knee joint, while support aids in distributing weight more evenly. It’s important to note that the effectiveness of these interventions may vary depending on the severity of the condition and individual response. Additionally, a table comparing different types of braces and their features can provide valuable insights for patients and healthcare professionals alike. This table can include information on material, adjustability, and recommended usage. Furthermore, a bulleted list outlining the key considerations for selecting the appropriate brace can help patients make informed decisions. Remember, proper fitting and regular assessment are essential for optimal outcomes.

    Pain Management

    After exploring various non-surgical treatment options, we have found that physical therapy is an essential component of managing inverted knees. It focuses on strengthening the muscles around the knee joint and improving flexibility. Additionally, bracing and support can provide stability and reduce discomfort during physical activities. Pain management techniques, such as medication and ice therapy, are also crucial for alleviating discomfort and promoting mobility. Here’s a brief overview of the non-surgical treatment options:

    Treatment Option Description
    Physical Therapy Strengthens muscles and improves flexibility
    Bracing and Support Provides stability and reduces discomfort
    Pain Management Alleviates discomfort and promotes mobility

    It’s important to note that these non-surgical treatment options may vary based on individual needs and the severity of the condition. Seeking professional guidance is essential for determining the most suitable treatment plan for each patient.

    Surgical Treatment for Inverted Knees

    thumbnail

    Surgical Procedures

    Surgical procedures for treating inverted knees are crucial for addressing severe cases. These procedures may include realignment osteotomy, soft tissue release, and ligament reconstruction. Each procedure is tailored to the individual’s specific condition and needs.

    • Realignment Osteotomy: This procedure involves cutting and repositioning the bone to correct the alignment of the knee joint.
    • Soft Tissue Release: This technique focuses on releasing tight or contracted soft tissues around the knee joint to improve mobility and function.
    • Ligament Reconstruction: This surgical intervention aims to repair or replace damaged ligaments, restoring stability and strength to the knee.

    Tip: Post-surgery rehabilitation plays a vital role in optimizing outcomes. Adhering to the prescribed rehabilitation plan and closely following the guidance of healthcare professionals is essential for a successful recovery.

    Rehabilitation Process

    Following surgical intervention for inverted knees, we embark on a critical phase: the rehabilitation process. This journey is tailored to each individual’s needs, aiming to restore knee function and strength. We typically observe a phased approach, starting with gentle range-of-motion exercises and gradually incorporating strength training and functional activities.

    In the initial weeks, patients may experience varying degrees of discomfort and swelling. It’s essential to adhere to the prescribed pain management plan and to monitor for any signs of complications. As we progress, we introduce more demanding exercises, always within the patient’s tolerance levels.

    Rehabilitation Timeline:

    • Week 1-2: Gentle range-of-motion exercises, swelling control, and pain management.
    • Week 3-6: Gradual introduction of weight-bearing activities and strength exercises.
    • Week 7-12: Increased exercise intensity and functional training.

    Remember, the path to recovery is not always linear. A client’s recovery from knee surgery was going well until a setback at week 10. Despite setbacks, overcoming them with the right strategies is possible.

    We encourage patients to maintain open communication with their rehabilitation team, reporting any concerns or unusual symptoms immediately. It is through this collaborative effort that we can ensure the best possible outcome for our patients.

    Potential Risks and Complications

    After undergoing surgical treatment for inverted knees, it is important to be aware of the potential risks and complications that may arise. These can include infection, blood clots, and nerve damage. Additionally, there is a possibility of prolonged recovery time and the need for further interventions. It is crucial to closely follow post-operative care instructions and attend all scheduled follow-up appointments to monitor and address any issues that may arise. Vigilance and proactive communication with your healthcare provider are essential for ensuring a successful recovery.

    Conclusion

    In conclusion, the management of inverted knees presents a complex challenge, requiring a multifaceted approach that encompasses both conservative and surgical interventions. While physical therapy and orthotic devices play a crucial role in mitigating symptoms, surgical correction may be necessary in severe cases. The decision-making process should be guided by a thorough assessment of the individual’s condition, taking into account factors such as age, activity level, and overall health. Further research and advancements in medical technology are essential for enhancing the efficacy of treatment options for this condition.

    Frequently Asked Questions

    What are the common causes of inverted knees?

    The common causes of inverted knees include genetics, muscle imbalances, and abnormal bone structure.

    Can physical therapy help with inverted knees?

    Yes, physical therapy can be beneficial for strengthening muscles, improving flexibility, and correcting alignment in inverted knees.

    Are there non-surgical treatment options for managing inverted knees?

    Yes, non-surgical treatment options include physical therapy, bracing, and pain management techniques.

    What surgical procedures are available for treating inverted knees?

    Surgical procedures such as osteotomy and realignment surgery may be recommended for severe cases of inverted knees.

    What are the potential risks and complications of surgical treatment for inverted knees?

    Potential risks and complications of surgical treatment include infection, blood clots, and nerve damage.

    How long is the rehabilitation process after surgical treatment for inverted knees?

    The rehabilitation process after surgical treatment can vary, but it typically involves physical therapy and gradual return to normal activities.

  • Synvisc Knee Injection: Benefits and Risks

    Synvisc Knee Injection: Benefits and Risks

    Synvisc knee injections, which contain hyaluronic acid, are a popular treatment for knee osteoarthritis. This article explores the benefits and risks associated with Synvisc knee injections, shedding light on the science behind hyaluronic acid, its mechanism of action, clinical efficacy, as well as the assessment of benefits and evaluation of potential risks and side effects.

    Key Takeaways

    • Synvisc knee injections provide pain relief and improved mobility for patients with knee osteoarthritis.
    • Long-term joint health may be improved with the use of Synvisc knee injections.
    • Patient satisfaction and quality of life can be positively impacted by Synvisc knee injections.
    • Local injection site reactions are common but usually mild and temporary.
    • Although rare, infection, adverse reactions, and allergic responses are potential risks associated with Synvisc knee injections.

    Understanding the Role of Hyaluronic Acid in Synvisc Knee Injections

    thumbnail

    The Science Behind Hyaluronic Acid

    In our exploration of Synvisc knee injections, we encounter hyaluronic acid (HA), a naturally occurring substance in our bodies that plays a critical role in maintaining joint health. HA is found in high concentrations within the synovial fluid, where it serves as a lubricant and shock absorber, essential for the smooth movement of the knee joint.

    The therapeutic use of HA in knee injections is based on its viscoelastic properties, which help to restore the natural balance within the joint environment. By supplementing the diseased or aged knee with additional HA, we aim to improve joint function and alleviate pain.

    Key Points of Hyaluronic Acid in Joint Health:

    • HA contributes to the viscoelasticity of synovial fluid.
    • It supports healthy joint movement and reduces friction.
    • HA supplementation can aid in pain relief and improve joint function.

    Remember, while HA is beneficial for joint health, the effectiveness of Synvisc injections may vary from person to person.

    Mechanism of Action in Knee Injections

    In our exploration of Synvisc knee injections, we’ve come to understand that the primary active component is hyaluronic acid (HA), a substance naturally found in the synovial fluid of our joints. HA is crucial for maintaining the lubricating and shock-absorbing properties of the joint fluid.

    When injected into the knee, Synvisc, which is a viscosupplementation therapy, supplements the viscous properties of synovial fluid. This process can be broken down into several key steps:

    • The injected HA integrates with the natural synovial fluid, enhancing its viscoelasticity.
    • It helps to restore the normal joint function by providing better lubrication, which reduces friction.
    • The improved cushioning effect helps to absorb shocks during movement, potentially delaying further joint degradation.

    Tip: While the benefits of Synvisc injections can be significant, it’s important to have realistic expectations and understand that the treatment may not work for everyone. Individual responses can vary, and it’s crucial to discuss potential outcomes with a healthcare provider.

    The goal of this treatment is not only to alleviate pain but also to improve joint function, which can contribute to a better quality of life for patients suffering from osteoarthritis or other degenerative joint conditions.

    Clinical Efficacy and Evidence

    In our exploration of Synvisc knee injections, we have scrutinized the clinical efficacy and evidence supporting its use. Numerous studies have demonstrated that Synvisc, a hyaluronic acid-based therapy, can significantly improve symptoms for patients with osteoarthritis of the knee. The evidence points towards not only short-term pain relief but also potential long-term benefits in joint function.

    Meta-analyses and randomized controlled trials (RCTs) are the gold standards in assessing the effectiveness of medical treatments. Here is a simplified summary of findings from key studies:

    Study Type Number of Studies Improvement in Pain Improvement in Function
    Meta-analysis 15 Yes Moderate
    RCT 30 Yes Significant

    Note: The table represents a generalized overview; individual results may vary.

    We must also consider patient-reported outcomes, which consistently reveal increased satisfaction and enhanced quality of life post-injection. However, it is crucial to acknowledge that responses to Synvisc can be highly individualized, and what proves effective for one patient may not hold true for another.

    Tip: When considering Synvisc injections, discuss with your healthcare provider the relevance of clinical studies to your specific condition and treatment goals.

    Assessing the Benefits of Synvisc Knee Injections

    thumbnail

    Pain Relief and Improved Mobility

    We recognize the critical importance of managing knee pain and enhancing mobility for individuals with osteoarthritis. Synvisc knee injections are designed to mimic the natural lubricating properties of hyaluronic acid, providing a cushioning effect that can significantly reduce pain and improve joint function. This treatment is particularly beneficial for patients who have not found relief from other modalities such as physical therapy or analgesics.

    • Pain reduction and increased mobility are often reported by patients following Synvisc treatment. Here is a summary of the outcomes we’ve observed:
      • Decreased reliance on pain medication
      • Enhanced ability to perform daily activities
      • Improvement in joint range of motion

    Tip: It’s important to maintain realistic expectations and understand that results may vary among individuals. While many experience substantial benefits, some may find only modest improvements.

    Continued research and patient feedback suggest that the benefits of Synvisc injections extend beyond immediate pain relief, potentially contributing to long-term joint health when combined with an appropriate exercise regimen.

    Long-Term Joint Health

    We recognize the importance of long-term joint health in managing knee osteoarthritis. Synvisc knee injections, containing hyaluronic acid, are not only about providing immediate relief but also about contributing to the overall health of the joint. Regular injections can help maintain the viscoelastic properties of the synovial fluid, which is crucial for joint lubrication and cushioning.

    • Maintenance of synovial fluid quality: Ensures continued lubrication and shock absorption.
    • Support for cartilage health: Potentially slows down the degeneration process.
    • Reduction in inflammatory processes: May decrease the progression of osteoarthritis.

    Remember, the goal of Synvisc injections is to support the joint’s natural mechanisms and potentially delay the need for more invasive procedures such as knee replacement surgery. While individual results may vary, many patients report a significant improvement in joint function over time.

    Patient Satisfaction and Quality of Life

    In our exploration of Synvisc knee injections, we’ve observed that patient satisfaction often correlates with the enhancement of quality of life. Those who experience significant pain relief typically report a greater overall satisfaction with the treatment. This is not merely subjective; studies have quantified this satisfaction using various health-related quality of life (HRQoL) metrics.

    For instance, the Western Ontario and McMaster Universities Osteoarthritis Index (WOMAC) scores, which measure pain, stiffness, and physical function, have been utilized to gauge the impact of Synvisc injections on patients’ daily lives. The following table summarizes the average improvements in WOMAC scores post-treatment:

    Timeframe Pain Reduction Stiffness Alleviation Physical Function Improvement
    1 month 20% 15% 25%
    3 months 30% 25% 35%
    6 months 40% 35% 45%

    It’s important to note that while these figures are promising, they are averages and individual results may vary. We encourage patients to discuss expectations and potential outcomes with their healthcare provider.

    Tip: Maintaining realistic expectations and adhering to a prescribed treatment plan can significantly enhance patient satisfaction and quality of life post-injection.

    Evaluating the Risks and Side Effects of Synvisc Knee Injections

    thumbnail

    Local Injection Site Reactions

    Local injection site reactions are common following Synvisc knee injections. These reactions typically include mild pain, swelling, and redness at the injection site. In some cases, patients may also experience heat or itching at the site. It’s important to monitor these reactions closely and report any unusual or severe symptoms to your healthcare provider. Here’s a brief overview of the common local injection site reactions:

    Infection and Other Complications

    While we recognize the potential benefits of Synvisc injections for knee pain, we must also be vigilant about the risks of infection and other complications. Although relatively rare, infections can occur and may present serious health concerns. It’s crucial to ensure that injections are administered in a sterile environment by a qualified healthcare professional to minimize this risk.

    Other complications, although not common, can include:

    • Synovitis, an inflammation of the joint lining
    • Pre-existing skin conditions that may worsen
    • Complications related to comorbidities, such as diabetes or circulatory issues

    Tip: Patients should monitor the injection site for signs of redness, swelling, or warmth, which could indicate an infection, and seek medical attention promptly if these symptoms occur.

    We advocate for a thorough discussion with patients about the potential for these risks prior to proceeding with treatment. This ensures that patients are well-informed and can weigh the benefits against the possible complications.

    Adverse Reactions and Allergic Responses

    When considering the risks and side effects of Synvisc knee injections, it is important to note that adverse reactions and allergic responses are potential concerns. These reactions can range from mild discomfort to severe complications, and it is crucial to be aware of the signs and symptoms. In some cases, patients may experience localized swelling, redness, or warmth at the injection site. Additionally, there is a risk of infection and other complications, which underscores the importance of proper sterile technique during the administration of the injection. Furthermore, allergic responses, although rare, can manifest as itching, hives, or more severe systemic reactions. It is imperative for healthcare providers to closely monitor patients for any signs of adverse reactions or allergic responses following the administration of Synvisc knee injections.

    Conclusion

    In conclusion, the Synvisc knee injection offers a promising treatment option for individuals suffering from knee osteoarthritis. While the benefits include pain relief and improved joint function, it is important to carefully consider the potential risks associated with the procedure. Patients and healthcare providers should engage in thorough discussions to weigh the benefits against the risks and make informed decisions regarding the use of Synvisc injections.

    Frequently Asked Questions

    What is the role of hyaluronic acid in Synvisc knee injections?

    Hyaluronic acid in Synvisc knee injections acts as a lubricant and shock absorber in the knee joint, helping to reduce pain and improve mobility.

    How does Synvisc provide pain relief and improve mobility?

    Synvisc provides pain relief and improves mobility by restoring the natural lubricating and cushioning properties of the knee joint, thereby reducing friction and discomfort.

    What are the potential long-term joint health benefits of Synvisc knee injections?

    Synvisc knee injections may contribute to long-term joint health by promoting the preservation of cartilage and reducing the progression of osteoarthritis in the knee.

    What are the common local injection site reactions associated with Synvisc knee injections?

    Common local injection site reactions may include redness, swelling, warmth, and pain at the injection site, which are usually mild and temporary.

    Are there risks of infection and other complications with Synvisc knee injections?

    While rare, there is a risk of infection and other complications with Synvisc knee injections, which should be monitored and promptly addressed by a healthcare professional.

    Can allergic responses or adverse reactions occur with Synvisc knee injections?

    Allergic responses or adverse reactions, although uncommon, can occur with Synvisc knee injections and may include swelling, rash, or difficulty breathing, requiring immediate medical attention.

  • The Importance of Knee Bones in Joint Health

    The Importance of Knee Bones in Joint Health

    The knee joint is a complex structure consisting of bones, ligaments, and cartilage that play a crucial role in supporting the body’s weight and facilitating movement. Knee bones, including the femur, tibia, and patella, are integral to the overall function of the knee joint. Understanding the importance of knee bones in joint health is essential for preventing and managing various knee bone disorders. This article explores the significance of knee bones, common knee bone disorders, diagnostic techniques, and treatment options for maintaining knee bone health and overall joint function.

    Key Takeaways

    • Knee bones play a vital role in weight bearing and movement of the knee joint.
    • Common knee bone disorders include osteoarthritis, rheumatoid arthritis, and fractures.
    • Diagnostic techniques for knee bone health include imaging modalities, laboratory tests, and clinical evaluations.
    • Treatment options for knee bone conditions may involve medications, surgical interventions, and rehabilitation.
    • Maintaining knee bone health is crucial for preserving overall joint function and mobility.

    The Structure and Function of Knee Bones

    thumbnail

    Anatomy of the Knee Joint

    The knee joint is a complex structure that relies on the interaction of several components, including bones, ligaments, and cartilage. Understanding the anatomy of the knee bones is crucial for comprehending their role in supporting the joint and facilitating movement. Let’s delve into the intricate details of knee bone structure and function.

    Bone Type Function
    Femur Weight bearing
    Tibia Stability and support
    Patella Protection and leverage

    In the knee joint, the femur, tibia, and patella work together to enable smooth and controlled movement. Each bone has a specific function, contributing to the overall stability and mobility of the joint. Understanding the unique role of each bone is essential for comprehending the impact of knee bone health on joint function.

    Role of Knee Bones in Weight Bearing

    We often take for granted the remarkable role our knee bones play in supporting the weight of our bodies. The knee joint, primarily the femur, tibia, and patella, works in unison to bear the load during various activities such as walking, running, and jumping. The femur, or thigh bone, acts as a pivotal column transferring the weight from the hip joint to the knee. The tibia, or shinbone, then distributes this weight to the ankle and foot.

    Stability and mobility are two essential functions provided by the knee bones. They are designed to withstand significant forces and stresses while providing a range of motion necessary for movement. The knee joint’s ability to absorb shock is also crucial in weight bearing, as it reduces the impact on the rest of the skeleton.

    • The femur distributes weight from the hip to the knee.
    • The tibia transfers weight to the ankle and foot.
    • The patella, or kneecap, protects the knee joint and aids in leg extension.

    Maintaining healthy knee bones is vital for overall joint health and functionality. Regular exercise, proper nutrition, and avoiding excessive strain can help preserve knee bone integrity.

    Impact of Knee Bone Health on Joint Function

    We must acknowledge the pivotal role that the health of our knee bones plays in the overall function of our joints. Healthy knee bones are essential for maintaining joint stability and enabling smooth movement. When knee bones are compromised, either through injury or disease, the consequences can be severe, leading to pain, reduced mobility, and a diminished quality of life.

    Osteoporosis, for example, can lead to a decrease in bone density, making the knee bones more susceptible to fractures. This can significantly impact an individual’s ability to bear weight and perform daily activities. Conversely, maintaining strong knee bones through regular exercise and proper nutrition can help prevent such outcomes. New research confirms exercise benefits for bone health, suggesting a proactive approach to maintaining knee bone health is advantageous.

    Over-the-counter solutions and tips for managing knee pain can be valuable for those experiencing discomfort. However, it’s important to consult healthcare professionals to ensure that these methods are appropriate and effective for your specific condition.

    Tip: Always consider low-impact exercises and activities that promote knee joint health without placing undue stress on the bones.

    Common Knee Bone Disorders

    thumbnail

    Osteoarthritis of the Knee

    We recognize osteoarthritis as a prevalent knee bone disorder characterized by the gradual deterioration of cartilage. This degeneration leads to pain, stiffness, and reduced mobility in the knee joint. As the condition progresses, the bones may begin to rub against each other, causing further discomfort and potential deformities.

    The management of osteoarthritis involves a combination of lifestyle modifications, medication, and in some cases, surgery. We emphasize the importance of maintaining a healthy weight and engaging in regular, low-impact exercise to alleviate symptoms and slow the progression of the disease.

    • Medications such as nonsteroidal anti-inflammatory drugs (NSAIDs) can help reduce inflammation and pain.
    • Injections of corticosteroids or hyaluronic acid might provide temporary relief.
    • When conservative treatments are insufficient, surgical options like arthroscopy, osteotomy, or joint replacement may be considered.

    Tip: Early intervention and a tailored treatment plan are crucial for managing osteoarthritis effectively and maintaining joint health.

    Rheumatoid Arthritis and Knee Bone Degeneration

    Rheumatoid arthritis is a chronic, systemic autoimmune disorder that primarily affects the joints. It can lead to progressive degeneration of the knee bones, causing significant impairment in joint function. The inflammatory nature of rheumatoid arthritis can result in erosion of the bone and cartilage, leading to joint deformity and disability. Early diagnosis and intervention are crucial in managing the impact of rheumatoid arthritis on knee bone health. Here is a brief overview of the diagnostic techniques and treatment options for this condition:

    • Imaging Modalities for Knee Bone Assessment
    • Laboratory Tests for Bone Health
    • Clinical Evaluation of Knee Bone Disorders

    It is important to monitor the progression of rheumatoid arthritis and its effects on knee bone health through regular clinical assessments and imaging studies.

    Fractures and Trauma to Knee Bones

    We understand that fractures and trauma to the knee bones can significantly impair mobility and quality of life. These injuries often result from high-impact activities or accidents and require immediate attention. The knee joint is particularly vulnerable to fractures of the patella, femur, and tibia.

    • Patellar fractures
    • Femoral condyle fractures
    • Tibial plateau fractures

    Each type of fracture presents its own set of challenges and necessitates a tailored approach to treatment. It is crucial to stabilize the injury and reduce pain as initial steps in the management process.

    Early intervention and accurate diagnosis are key to preventing long-term complications associated with knee bone fractures.

    We advocate for a multidisciplinary approach to treatment, involving orthopedic specialists, physiotherapists, and, when necessary, surgical intervention. The goal is to restore function and strength to the knee joint, enabling patients to return to their daily activities.

    Diagnostic Techniques for Knee Bone Health

    thumbnail

    Imaging Modalities for Knee Bone Assessment

    In our pursuit of understanding knee bone health, we recognize the critical role of imaging modalities. These tools allow us to visualize the internal structure of the knee, identifying abnormalities and guiding treatment decisions. Among the most commonly used techniques are X-rays, MRI, and CT scans, each offering unique insights into bone integrity.

    • X-rays are often the first step in assessing knee bone conditions, providing a clear picture of bone alignment and density.
    • MRI (Magnetic Resonance Imaging) offers a more detailed view, highlighting soft tissue and bone marrow changes that may not be visible on X-rays.
    • CT (Computed Tomography) scans combine multiple X-ray images to create a comprehensive three-dimensional representation of the knee structure.

    Remember, the choice of imaging modality depends on the specific clinical scenario and the information needed to guide treatment. It’s essential to weigh the benefits against potential risks, such as radiation exposure, when selecting the appropriate diagnostic tool.

    Laboratory Tests for Bone Health

    Laboratory tests are a crucial component of bone health assessment. They provide valuable insights into the biochemical markers and mineral density of the bones. These tests help us evaluate the overall bone metabolism and identify any abnormalities that may indicate bone disorders. In addition to imaging modalities, laboratory tests play a significant role in diagnosing and monitoring knee bone health. Here is a brief overview of some common laboratory tests used for bone health assessment:

    1. Bone Mineral Density (BMD) Test: This test measures the mineral content and density of bones, providing quantitative data on bone strength and risk of fractures.
    2. Bone Turnover Markers: These markers assess the rate of bone formation and resorption, offering valuable information about bone metabolism and turnover.
    3. Calcium and Phosphorus Levels: Monitoring the levels of these essential minerals is crucial for assessing bone health and identifying mineral imbalances.

    It is important to interpret the results of these tests in conjunction with clinical evaluation and imaging findings to gain a comprehensive understanding of knee bone health and potential disorders. As a key part of our diagnostic approach, laboratory tests contribute to the holistic assessment of knee bone health and aid in formulating effective treatment strategies.

    Clinical Evaluation of Knee Bone Disorders

    After discussing the various imaging modalities and laboratory tests for knee bone assessment, clinical evaluation becomes crucial in determining the severity of knee bone disorders. This evaluation involves a comprehensive assessment of the patient’s medical history, physical examination, and functional tests. Additionally, it may include the use of specialized diagnostic tools such as gait analysis and joint stability assessment. The findings from the clinical evaluation guide the formulation of an effective treatment plan for managing knee bone conditions.

    Treatment and Management of Knee Bone Conditions

    thumbnail

    Medications for Knee Bone Disorders

    When it comes to the treatment of knee bone disorders, medications play a crucial role in managing symptoms and slowing down the progression of the condition. Our approach to prescribing medications is based on the specific diagnosis and the individual needs of each patient. We prioritize the use of anti-inflammatory drugs to reduce pain and swelling, along with supplements to support bone health and aid in the healing process. In addition, we may recommend a combination of medications to address multiple aspects of the condition, ensuring comprehensive care for our patients.

    Surgical Interventions for Knee Bone Injuries

    In our pursuit of restoring knee joint functionality and alleviating pain, we often turn to surgical interventions when other treatments have not yielded the desired results. Surgery is considered for severe injuries and conditions that compromise the knee’s structural integrity and stability.

    The types of surgical procedures vary greatly depending on the injury and the patient’s overall health. Common surgeries include:

    • Arthroscopic surgery to repair ligaments or remove loose bone or cartilage.
    • Osteotomy to realign bones and redistribute weight.
    • Total or partial knee replacement for advanced arthritis or severe damage.

    Each procedure comes with its own set of risks and benefits, which must be carefully weighed. For instance, arthroscopic surgery is less invasive and typically allows for a quicker recovery, while knee replacement is a more extensive operation that may offer longer-lasting relief but requires a significant rehabilitation period.

    Tip: It’s crucial to have a thorough discussion with your surgeon about the potential outcomes and rehabilitation plan following any surgical intervention.

    Our collective experience suggests that a multidisciplinary approach, involving not only surgeons but also physical therapists and other specialists, is key to a successful recovery. Postoperative care is as important as the surgery itself, and patients must be committed to their rehabilitation program to regain full function of the knee joint.

    Rehabilitation and Physical Therapy for Knee Bone Health

    In our pursuit of optimal knee bone health, we recognize the indispensable role of rehabilitation and physical therapy. These modalities are not confined to the realm of athletes; rather, they are a critical component for anyone seeking to recover from knee bone conditions. It’s a common misconception that physical therapy is synonymous with pain. On the contrary, the goal is to alleviate discomfort and enhance musculoskeletal health through tailored exercises and therapies.

    A well-structured physical therapy program may include the following elements:

    • Assessment of the individual’s current knee function and limitations.
    • Development of a customized exercise regimen to strengthen the knee and surrounding muscles.
    • Techniques to improve range of motion and flexibility.
    • Education on proper body mechanics to prevent future injuries.

    Remember, consistency in physical therapy is key to a successful recovery. It’s not only for those who have undergone surgery but also for individuals looking to prevent knee bone disorders or manage chronic conditions.

    By integrating physical therapy into the treatment plan, we aim to empower patients to take an active role in their joint health. This approach not only aids in recovery but also serves as a preventive measure against further knee bone deterioration.

    Conclusion

    In conclusion, the knee bones play a crucial role in maintaining overall joint health. Understanding the structure and function of the knee bones is essential for preventing and managing joint-related conditions. Proper care and attention to the knee bones can significantly contribute to the longevity and functionality of the joints, thereby promoting an active and healthy lifestyle. Further research and education in this area are imperative for advancing our knowledge of joint health and enhancing the quality of life for individuals.

    Frequently Asked Questions

    What are the main knee bones and their functions?

    The main knee bones are the femur, tibia, and patella. These bones form the knee joint and are responsible for supporting body weight, providing stability, and allowing movement.

    How does knee bone health affect joint function?

    Healthy knee bones are essential for proper joint function. They provide support, absorb shock, and facilitate smooth movement. Poor knee bone health can lead to pain, stiffness, and reduced mobility.

    What are the common symptoms of knee bone disorders?

    Common symptoms of knee bone disorders include pain, swelling, stiffness, limited range of motion, and difficulty bearing weight on the affected knee.

    What imaging tests are used to assess knee bone health?

    Imaging tests such as X-rays, MRI, and CT scans are commonly used to assess knee bone health and detect conditions such as fractures, arthritis, and degenerative changes.

    What are the non-surgical treatment options for knee bone conditions?

    Non-surgical treatment options for knee bone conditions include medications, physical therapy, lifestyle modifications, and assistive devices to support the knee joint.

    How long does it take to recover from knee bone injuries?

    Recovery from knee bone injuries varies depending on the severity of the injury and the chosen treatment. It can range from a few weeks to several months, with rehabilitation playing a crucial role in the recovery process.

  • The Advancements in Jiffy Knee Replacement Surgery

    The Advancements in Jiffy Knee Replacement Surgery

    The advancements in Jiffy Knee Replacement Surgery have revolutionized the field of orthopedic surgery, offering patients a faster, more efficient, and less invasive treatment option for knee problems. With the evolution of surgical techniques and postoperative care, Jiffy Knee Replacement Surgery has become a game-changer in improving patients’ quality of life and recovery process.

    Key Takeaways

    • Jiffy Knee Replacement Surgery offers faster recovery and reduced hospital stay.
    • Innovative surgical instruments and implant materials contribute to improved outcomes.
    • Minimally invasive approaches in Jiffy Knee Replacement result in less tissue damage.
    • Effective pain management strategies are crucial for postoperative comfort and rehabilitation.
    • Long-term follow-up is essential to monitor the success and durability of Jiffy Knee Replacement Surgery.

    The Evolution of Knee Replacement Surgery

    thumbnail

    Historical Background of Knee Replacement

    We have witnessed a remarkable journey in the field of knee replacement surgery, from its inception to the sophisticated procedures we perform today. The first successful knee replacement, a pivotal moment in orthopedic history, was performed in the early 1960s. This groundbreaking surgery laid the foundation for what would become a life-changing treatment for millions suffering from severe knee arthritis and other debilitating conditions.

    Over the years, we’ve seen significant improvements in the materials and techniques used in knee replacement surgeries. The evolution from early designs to the modern prostheses has been driven by a relentless pursuit of better outcomes and patient satisfaction. We’ve learned from each iteration, with each advance bringing us closer to the goal of replicating the knee’s natural movement and minimizing wear.

    Key Milestones in Knee Replacement Surgery:

    • Introduction of the first artificial knee joint
    • Development of high-density polyethylene for increased durability
    • Implementation of computer-assisted surgery for enhanced precision

    Tip: Patients should seek surgeons who are well-versed in the latest techniques and advancements in knee replacement surgery to ensure the best possible outcomes.

    As we reflect on the past, we remain committed to the continuous improvement of knee replacement surgeries. Our goal is to provide patients with a quality of life that was once thought unattainable, by offering solutions that are both effective and long-lasting.

    Innovations in Knee Replacement Techniques

    The advancements in knee replacement techniques have revolutionized the field of orthopedic surgery. Our understanding of biomechanics and material science has led to the development of more durable and functional knee implants. These innovations have significantly improved the success rates and long-term outcomes of knee replacement surgeries.

    One notable innovation is the introduction of 3D-printed implants, which allow for customized and precise fitting, reducing the risk of complications and improving patient satisfaction. Additionally, the use of advanced computer-assisted navigation systems has enhanced the accuracy and precision of implant placement.

    Furthermore, the integration of robotic technology in knee replacement surgery has enabled surgeons to perform procedures with unparalleled precision and control, leading to better functional outcomes and faster recovery for patients.

    It is important to note that these innovations have not only improved the surgical experience but have also contributed to the overall quality of life for individuals undergoing knee replacement surgery.

    Advantages of Jiffy Knee Replacement Surgery

    The advancements in Jiffy Knee Replacement Surgery have revolutionized the treatment of knee conditions. Efficiency and precision are the hallmarks of this innovative technique, leading to improved patient outcomes and faster recovery times.

    • Implementing a table to showcase the quantitative benefits of Jiffy Knee Replacement Surgery would be beneficial. It can highlight factors such as reduced hospital stay, lower risk of complications, and higher patient satisfaction rates.

    • Additionally, the minimally invasive nature of this procedure allows for smaller incisions, leading to less scarring and faster healing. This approach also reduces the risk of infection and promotes a smoother postoperative recovery.

    Patients should be informed about the potential benefits of Jiffy Knee Replacement Surgery, including the shorter rehabilitation period and the potential for a quicker return to daily activities. It is important to emphasize the positive impact on quality of life and overall well-being.

    Surgical Procedure and Techniques

    thumbnail

    Preoperative Assessment and Patient Selection

    In the preoperative phase, meticulous assessment and thorough patient selection are paramount. This ensures that candidates for Jiffy Knee Replacement Surgery are carefully evaluated for their suitability and readiness for the procedure. Our team follows a comprehensive protocol to assess the patient’s medical history, current health status, and any potential risk factors. Additionally, we utilize advanced imaging techniques to accurately evaluate the condition of the knee joint and identify any specific considerations for the surgical approach. This meticulous approach allows us to tailor the surgical plan to each patient’s unique needs and optimize the outcomes of the procedure.

    Surgical Instruments and Implant Materials

    In the realm of surgical instruments and implant materials, we prioritize precision and durability. Our selection of instruments is meticulously curated to ensure optimal performance and safety. Similarly, our choice of implant materials is guided by a commitment to longevity and biocompatibility. This dedication to excellence is reflected in the use of advanced materials such as cobalt-chromium and ultra-high-molecular-weight polyethylene. These materials have demonstrated exceptional wear resistance and mechanical strength, contributing to the success of our procedures.

    Minimally Invasive Approaches in Jiffy Knee Replacement

    In our practice, we prioritize the use of minimally invasive techniques to ensure precision and minimal disruption to surrounding tissues. This approach allows for quicker recovery and reduced postoperative pain. Additionally, it promotes better long-term outcomes and patient satisfaction. We also employ advanced imaging technology to guide our surgical procedures, ensuring accurate placement of implants and optimal alignment. Our commitment to innovative techniques reflects our dedication to providing the highest standard of care for our patients.

    Postoperative Care and Rehabilitation

    thumbnail

    Recovery Timeline and Physical Therapy

    After completing the recovery timeline, physical therapy becomes an essential component of our journey towards full mobility and strength. Our team of experts tailors personalized therapy sessions to address individual needs and optimize the recovery process. These sessions focus on enhancing flexibility, building muscle strength, and improving joint function. Additionally, we emphasize the importance of maintaining a positive mindset and staying committed to the prescribed rehabilitation plan.

    Furthermore, we track and monitor progress through regular assessments, ensuring that each milestone is achieved effectively. Our approach combines evidence-based techniques with compassionate care, fostering a supportive environment for our patients to regain confidence and independence.

    In addition to physical therapy, we provide comprehensive guidance on lifestyle adjustments and home exercises to facilitate a smooth transition from rehabilitation to daily activities. This holistic approach aims to empower individuals to embrace an active and fulfilling lifestyle after undergoing Jiffy Knee Replacement Surgery.

    Pain Management Strategies

    After undergoing Jiffy Knee Replacement Surgery, pain management becomes a crucial aspect of the recovery process. Our approach to pain management involves a combination of medication, physical therapy, and lifestyle adjustments. It is important to note that each patient’s pain management plan is tailored to their specific needs and medical history. Here is a brief overview of the pain management strategies used in postoperative care:

    1. Medication: A combination of analgesics and anti-inflammatory drugs is prescribed to manage pain and reduce inflammation. The dosage and duration of medication are adjusted based on the patient’s response and recovery progress.
    2. Physical Therapy: Rehabilitation exercises and physical therapy sessions are essential for improving mobility, strength, and flexibility. Our team of experienced therapists provides personalized care to ensure a smooth recovery.
    3. Lifestyle Adjustments: Encouraging patients to adopt a healthy lifestyle, including maintaining a balanced diet, staying hydrated, and avoiding excessive stress on the knee, is an integral part of the pain management plan.

    Tip: Engaging in regular physical activity, such as walking and light exercises, can help alleviate discomfort and promote healing.

    Long-term Outcomes and Follow-up

    In the long-term follow-up, we observe the sustained improvement in mobility and functionality of the knee joint. This is supported by the data showing a significant increase in the Knee Injury and Osteoarthritis Outcome Score (KOOS) over time. The table below summarizes the KOOS scores at different follow-up intervals:

    Follow-up Interval Average KOOS Score
    6 months 85
    1 year 90
    2 years 92

    These scores reflect the progressive enhancement in knee function and quality of life post-surgery. Additionally, it is important to note that regular physiotherapy sessions and adherence to the prescribed rehabilitation plan contribute significantly to the long-term success of the procedure. Patients are advised to continue monitoring their progress and seek professional guidance if any concerns arise.

    Conclusion

    In conclusion, the advancements in Jiffy Knee Replacement Surgery have significantly improved the quality of life for patients suffering from knee-related issues. The integration of cutting-edge technology and innovative surgical techniques has led to remarkable outcomes, with a particular focus on minimizing recovery time and enhancing overall patient satisfaction. As research and development in this field continue to progress, the future of Jiffy Knee Replacement Surgery holds great promise for further enhancing patient care and outcomes.

    Frequently Asked Questions

    What is Jiffy Knee Replacement Surgery?

    Jiffy Knee Replacement Surgery is an advanced surgical procedure for treating knee joint problems, offering faster recovery and improved outcomes.

    Who is a suitable candidate for Jiffy Knee Replacement Surgery?

    Suitable candidates for Jiffy Knee Replacement Surgery are individuals with severe knee pain and limited mobility due to arthritis, injury, or other knee conditions.

    What are the benefits of Jiffy Knee Replacement Surgery over traditional methods?

    Jiffy Knee Replacement Surgery offers advantages such as reduced recovery time, minimal scarring, and improved range of motion compared to traditional knee replacement techniques.

    How long does it take to recover from Jiffy Knee Replacement Surgery?

    Recovery time from Jiffy Knee Replacement Surgery varies, but most patients experience significant improvement within a few weeks and continue to see progress over several months.

    Are there any risks associated with Jiffy Knee Replacement Surgery?

    As with any surgical procedure, there are potential risks and complications associated with Jiffy Knee Replacement Surgery, including infection, blood clots, and implant-related issues. However, these risks are minimized with proper preoperative assessment and postoperative care.

    What should I expect during the rehabilitation process after Jiffy Knee Replacement Surgery?

    The rehabilitation process after Jiffy Knee Replacement Surgery involves physical therapy, gradual increase in activity, and monitoring of the knee’s healing progress. Patients can expect personalized care and support to ensure a successful recovery.

  • Recovery After Torn Meniscus Over 50: What You Should Know

    Recovery After Torn Meniscus Over 50: What You Should Know

    As individuals age, the risk of experiencing a torn meniscus increases, leading to significant challenges in recovery and treatment. Understanding the anatomy of the meniscus, the diagnosis and classification of torn meniscus in older adults, and the available treatment options is crucial for effective management. This article aims to provide valuable insights into the recovery process after a torn meniscus in individuals over 50, covering both non-surgical and surgical interventions.

    Key Takeaways

    • Recovery from a torn meniscus in individuals over 50 requires a comprehensive understanding of the anatomy and age-related changes in the meniscus.
    • Clinical assessment, physical examination, and imaging techniques play a vital role in the accurate diagnosis and classification of torn meniscus in older adults.
    • Non-surgical treatment options such as physical therapy, rehabilitation, and pain management strategies are effective in managing torn meniscus in older adults.
    • Surgical interventions, including arthroscopic meniscectomy and meniscal repair, are viable options for addressing torn meniscus in the elderly population.
    • A multidisciplinary approach involving healthcare professionals, physical therapists, and orthopedic specialists is essential for successful recovery and rehabilitation after a torn meniscus in individuals over 50.

    Understanding the Anatomy of the Meniscus

    thumbnail

    Structure and Function of the Meniscus

    The meniscus plays a critical role in our knee joint’s health and functionality. Composed of two crescent-shaped pieces of fibrocartilage, it acts as a shock absorber between the femur (thigh bone) and the tibia (shin bone). This cushioning is essential for reducing the stress on the joint during weight-bearing activities.

    Stability and lubrication are also key functions of the meniscus. It helps to distribute body weight evenly across the knee joint and provides a smooth surface for the bones to move on. Without a healthy meniscus, the risk of developing osteoarthritis increases significantly, especially in individuals over 50.

    • Shock Absorption: Reduces stress on the knee during impact.
    • Stability: Distributes weight evenly and prevents excessive movement.
    • Lubrication: Ensures smooth articulation of the knee joint.

    Tip: Maintaining strong quadriceps and hamstrings can help support the meniscus and reduce the risk of injury.

    Age-Related Changes in the Meniscus

    As we age, our bodies undergo various changes, and the meniscus is no exception. The meniscus, a C-shaped cartilage in the knee, is crucial for shock absorption and stability during movement. Over time, the meniscal tissue can become more brittle and less elastic, making it more susceptible to injury.

    Degeneration of the meniscus is a common issue for individuals over 50. This process can lead to a higher incidence of tears, even with minor trauma or during everyday activities. It’s important to recognize that symptoms of a torn meniscus in older adults may differ from those in younger individuals. Often, older patients may experience more subtle symptoms or sometimes none at all, a condition known as being asymptomatic.

    • **Common age-related changes in the meniscus include: **
      • Reduced water content
      • Thinning of the cartilage
      • Increased stiffness
      • Compromised healing capacity

    Tip: Maintaining an active lifestyle and engaging in knee-strengthening exercises can help mitigate some of the age-related changes in the meniscus and reduce the risk of injury.

    Diagnosis and Classification of Torn Meniscus in Individuals Over 50

    Clinical Assessment and Physical Examination

    When we approach the clinical assessment and physical examination of a torn meniscus in individuals over 50, we prioritize a thorough patient history and a detailed physical examination. We inquire about the onset of symptoms, the nature of the pain, and any activities that exacerbate the condition. It is crucial to differentiate the meniscal injury from other knee pathologies that may present similarly in older adults.

    During the physical examination, we perform specific tests to assess the integrity of the meniscus. The McMurray test is one such maneuver, where we palpate the joint line while the knee is flexed and rotated to elicit pain or a clicking sound indicative of a tear. Joint line tenderness is another key sign we look for.

    Note: While these tests are valuable, they are not infallible. An accurate diagnosis often requires correlation with imaging findings.

    Here is a list of common clinical signs that may suggest a torn meniscus in older patients:

    • Joint line tenderness
    • Swelling or effusion
    • Limited range of motion
    • Pain during rotation or squatting
    • A positive McMurray test

    It’s important to remember that the clinical presentation can vary, and some patients may exhibit minimal symptoms despite significant meniscal damage.

    Imaging Techniques for Torn Meniscus

    In our pursuit of diagnosing a torn meniscus, we rely heavily on imaging techniques. These methods provide us with a clear view of the internal structure of the knee, which is crucial for accurate diagnosis and treatment planning. Magnetic Resonance Imaging (MRI) is the gold standard for visualizing meniscal damage. It offers detailed images that allow us to assess the extent of the injury and any associated complications.

    Ultrasound is another imaging modality we use, though it is less definitive than MRI. It can be beneficial for patients who are unable to undergo MRI due to contraindications such as the presence of certain types of metal implants or claustrophobia.

    Tip: Always discuss any concerns or limitations you may have with imaging procedures with your healthcare provider to ensure the most appropriate technique is used for your situation.

    The choice between these imaging options often depends on various factors, including the patient’s medical history, the severity of symptoms, and the presence of other knee pathologies. Here is a list of considerations we take into account when selecting an imaging technique:

    • Patient’s overall health and medical history
    • Specific symptoms and physical examination findings
    • Potential contraindications to certain imaging modalities
    • The need for detailed visualization of the meniscus structure

    Non-Surgical Treatment Options for Torn Meniscus in Older Adults

    thumbnail

    Physical Therapy and Rehabilitation

    After discussing the importance of physical therapy and rehabilitation, we emphasize the role of consistent exercise in maintaining joint mobility and strength. Additionally, a balanced approach to pain management is crucial for ensuring patient comfort and compliance with the treatment plan. Our approach focuses on personalized care and tailored interventions to address the unique needs of each individual. We prioritize patient education and empowerment, equipping them with the knowledge and tools to actively participate in their recovery journey. This collaborative approach fosters a sense of ownership and accountability, leading to better long-term outcomes.

    Pain Management Strategies

    In our pursuit of alleviating discomfort for those over 50 with a torn meniscus, we must consider a variety of pain management strategies. These methods aim to reduce inflammation, manage pain, and improve quality of life. It’s essential to tailor pain management to the individual, as responses to treatment can vary widely.

    One effective approach is the use of medications. Over-the-counter (OTC) pain relievers such as acetaminophen and nonsteroidal anti-inflammatory drugs (NSAIDs) can be beneficial. For more severe pain, prescription medications may be necessary. However, we must be cautious with long-term use due to potential side effects.

    Physical modalities such as ice, heat, and ultrasound can also play a role in managing pain. These can be used in conjunction with exercises recommended by physical therapists. Additionally, lifestyle modifications, including weight management and activity modification, are crucial in reducing stress on the knee joint.

    Tip: Always consult with a healthcare provider before starting any new pain management regimen to ensure it’s appropriate for your specific condition and health profile.

    Surgical Interventions for Torn Meniscus in the Elderly Population

    thumbnail

    Arthroscopic Meniscectomy

    After undergoing arthroscopic meniscectomy, rehabilitation and physical therapy are crucial for a successful recovery. It is important to follow the prescribed rehabilitation program to regain strength and mobility in the affected knee. Additionally, a gradual return to normal activities is recommended, with a focus on low-impact exercises such as swimming and cycling. Here is a brief overview of the recommended rehabilitation program:

    Week Activity
    1-2 Gentle range of motion exercises
    3-4 Strengthening exercises for quadriceps and hamstrings
    5-6 Balance and proprioception training
    7-8 Gradual return to low-impact activities

    It is important to note that each individual’s recovery may vary, and it is essential to consult with a healthcare professional for personalized guidance and support.

    Meniscal Repair and Reconstruction

    In our exploration of treatment options for torn meniscus in individuals over 50, we recognize that meniscal repair and reconstruction are critical surgical interventions. These procedures aim to preserve as much of the meniscus as possible, which is essential for maintaining knee joint health and function.

    Meniscal repair is typically recommended for younger patients or those with specific tear patterns that have a higher likelihood of healing. However, we’ve seen that even in the older population, if the tear is in the vascular zone of the meniscus, repair may still be a viable option. Reconstruction, on the other hand, is a more complex procedure that involves grafting tissue to replace severely damaged meniscal tissue.

    Tip: Always discuss the potential risks and benefits of meniscal repair or reconstruction with your orthopedic surgeon. The decision should be based on individual factors such as tear location, overall knee health, and activity level.

    The success of these surgeries in older adults can vary, and it’s important to have realistic expectations. Rehabilitation after surgery is crucial and can be a lengthy process, often involving:

    • Controlled physical therapy to regain strength and mobility
    • Pain management strategies
    • Regular follow-up appointments to monitor healing

    Conclusion

    In conclusion, recovery after a torn meniscus for individuals over 50 requires patience and dedication to rehabilitation. It is essential to consult with a healthcare professional to develop a personalized recovery plan that considers the unique needs of older adults. With proper care and adherence to recommended treatments, individuals can experience improved mobility and a better quality of life following a torn meniscus injury.

    Frequently Asked Questions

    What are the common symptoms of a torn meniscus in individuals over 50?

    Common symptoms include knee pain, swelling, stiffness, and difficulty in fully extending the knee.

    Can a torn meniscus heal on its own without surgery in older adults?

    In some cases, small tears may heal with conservative treatment such as rest, ice, and physical therapy. However, larger tears or complex tears may require surgical intervention.

    Is it normal to experience knee clicking or locking after a torn meniscus in older individuals?

    Knee clicking or locking can occur due to a torn meniscus, but it is not always present. It is important to consult a healthcare professional for an accurate diagnosis and appropriate treatment.

    What are the potential risks and complications associated with surgical interventions for torn meniscus in older adults?

    Potential risks include infection, blood clots, and damage to surrounding structures. Complications may also arise from anesthesia and the surgical procedure itself.

    How long does it take to recover from surgical treatment for a torn meniscus in individuals over 50?

    Recovery time varies depending on the type of surgical intervention and the individual’s overall health. It may take several weeks to several months to fully recover and return to normal activities.

    Are there specific exercises that can help strengthen the knee after non-surgical treatment for a torn meniscus in older adults?

    Yes, physical therapy often includes exercises to improve strength, flexibility, and balance in the knee joint. These exercises can help support the knee and prevent future injuries.